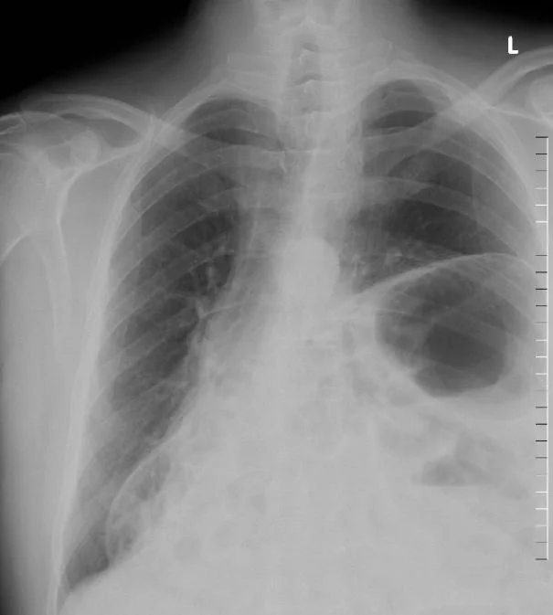
A 26 y,o woman comes to the ED with abdominal pain. Her WBC is 20K.

What could be wrong?

Our patient had a congenital Morgagni hernia.

This hernia is a defect in the foramen of the diaphragm allowing bowel to move into the chest.  The right side is affected in 90% of cases because pericardial attachments protect the  left side. In contrast, traumatic diaphragmatic hernias occur on the left side in 75-95% of case.   

a traumatic diaphragmatic hernia

The Morgagni hernia was named for Giovanni Morgagni (1682-1771) , an Italian pathologist who was one of the first physicians to correlate clinical histories with autopsy findings. The clinical history associated with a Morgagni hernia may include abdominal pain,  nausea and vomiting.  Bowel obstruction may occur but they may also be discovered late in life when patients receive imaging for other reasons. .

Morgagni hernias can result in death for a newborn.  The main determinants of outcomes in the newborn period are the presence of associated abnormalities;  pulmonary hypoplasia,  intrathoracic liver or heart disease.   Morgagni hernias can be sporadic or associated with chromosomal abnormalities : trisomy 18,13,21 and Turners syndrome. In addition to congenital diaphragmatic hernias there are several other types.

types of congenital hernias

TYPES OF DIAPHRAGMATIC HERNIAS

Morgagni- results from an anterior diaphragmatic defect.  Unless there is an associated congenital abnormality they are often diagnosed later in life.  Up to 50% of patients may be asymptomatic at the time of presentation.

Bochdalek- results from a defect in the posterolateral diaphragm . These hernias are associated with pulmonary hypoplasia and therefore diagnosed early.

Sliding hiatal hernias- the stomach herniates into the chest sliding up through the central hiatus.  This may precipitate reflex symptoms but rarely cause obstruction. They found in 30% of the general population and are more prevalent in the obese.

Paraesophageal hernia- is dangerous because the stomach bulges through the hiatus next to the esophagus and can become trapped in the chest cutting off its blood supply. The stomach can twist causing a volvulus. This becomes a surgical emergency.

The treatment for a Morgagni hernia is surgery.

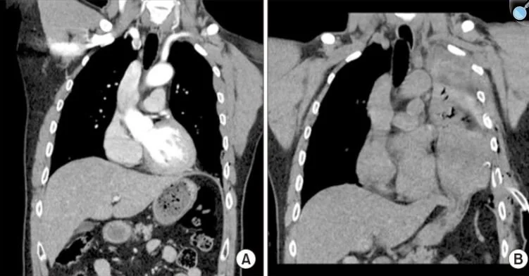
Case of a young male who fell off a bike. the L is the initial ct, the R is the next day after a chest tube.

FUN FACT

In the interests of equal time, Bochdalek was also a pathologist (1801-1883).  He worked in

Prague and is responsible for naming not only the diaphragmatic hernia that bears hisname, but multiple other structures including the ganglion of Bochdalek, a dental plexus above the canine tooth.

Cannata G, Caporilli C, Grassi F, et al. Molecular genetics.  Int J Mol Sci. 2021, 22(12),6353; https://doi.org/10.3390/ijms22126353

Craugh L, Salyer C, Tarras  S. Traumatic diaphragmatic injury: a narrative review. CCTS Vol 7 June 30,2025.

Chandrasekharan P, Rawat M, Madappa R, et al. Congenital diaphragmatic hernia-a review. Maternal Health Neonatology March 2017 DOI: 

Lee S, Lee S, Kim D, et al. Diaphragmatic hernia with stomach rupture after blun chest trauma.  J ches Surg  2022 Feb 5;55(1):85-87,

 

Rosanne NaunheimComment