A 64 y.o. male from Mexico comes to the ED with shortness of breath.

What could be wrong?

Hint: He lived in the Trans-Mexico Volcanic belt and had bee a stone cutter for 40 years

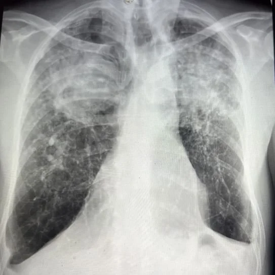
Our patient had progressive massive pulmonary fibrosis (PMF)   from silicosis.  He had worked in a quarry in central Mexico  which is a known volcanic area containing tuff (volcanic ash hardened into rock).  In contrast to limestone which has little silica,  it is predominantly silica.  This stone,  called Cantara stone,  is used in construction throughout Mexico .

cantera stone is ideal for carving and comes in many colors.

In progressive massive fibrosis small nodules form as a reaction to inhaled silica dust because the lungs cannot clear the tiny particles and macrophages try to wall them off. These small nodules coalesce into large dense masses of scar which typically appear in the upper lobes.  Fibrosis is divided into three main stage::acute is defined as occurring after weeks of exposure, accelerated occurs after 4-10 years of exposure and chronic progressive massive fibrosis (PMF).  occurs after more than ten years of exposure.   It is important to distinguish PMF from lung cancer which also has an upper lobe predilection because there is higher exposure to inhaled carcinogens in the upper lobes.  Lung cancer, however,  appears T2 hyperintense where PMF is hypointense compared to skeletal muscle.

Silicosis has been linked since the time of Hippocrates to mining, glass manufacturing and  mining.  With environmental safeguards in place the number of cases has been decreasing. However, since 2015 the number of cases has been increasing in the US , linked to fabrication of stone countertops.

Silicosis can be slow to develop and symptoms may not appear until years after exposure. Symptoms are similar to idiopathic pulmonary fibrosis with shortness of breath and cough.

 

THE DIFFERENTIAL

Talc granulomas , sarcoid,  tuberculomas all can have similar presentations. They all have nodules that can calcify. Tuberculomas  are the bodie’s attempt to wall off tbc with a fibrous capsule and inflammatory cells .  Very few tubercle bacilli are present and they are considered benign although they can occasionally reactivate. Patients with silicosis are at increased risk for tuberculosis.

tuberculosis reactivated in a tuberculoma

FUN FACTS

Silicon is the most abundant rock forming element on earth and a primary component of magma.   It is similar to carbon in that it combines with multiple elements most notably O2 where it forms  the silica (SiO2) found in rocks. Pure silicon is used in semiconductors.

The longest non technical word in the the Oxford English Dictionary is pneumonoultramicroscopicsilicovolcanoconiosis referring to the lung disease caused by inhaling silica.  It is especially prevalent in areas where volcanos spew out ash.

 

 There is no treatment for PMF.  Uur patient was advised that a lung transplant was the only option.

transMexican volcanic belt.

Chong S, Lee KS, Chung MJ et-al. Pneumoconiosis: comparison of imaging and pathologic findings. Radiographics. 2006;26 (1): 59-77. Radiographics  - doi:10.1148/rg.261055070 

Rodrigues R, Barreto M, Marchion E. Tuberculoma cavitation: a rare aspect of common disease clinical image. 2018. Archivos de Bronconeumologia. Vol 43(4) :216 soi: 10.1016/j.arbr.2017.07.021.

Kahn M, Klinhorn C, Wallace W, et al. Managing silicosis in the United States.2024.  Education and clinical practice Vol 2(4)

Rosanne Naunheim6 Comments