A 64 y.o. male presents to the ED with difficulty swallowing

What do you see on his xray?

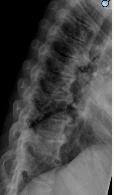
A 69 y.o. male presents with difficulty swallowing.

Our patient had ankylosing spondylitis with an anterior osteophyte in the cervical spine causing dysphagia.  Ankylosing spondylitis is a seronegative autoimmune arthritis characterized by osteophyte formation, enthesitis and sacroliitis.  Peripheral arthritis pericarditis, and pulmonary fibrosis may occur also occur.   Classically,  bamboo spine develops with vertebral body fusion from syndesmophytes between ossified intervertebral discs.

bamboo spine in ankylosing spondylitis

There is a strong link between HLA-B27 and ankylosing spondylitis with 80-90% of caucasian patients testing positive.   However many people with the gene never develop the disease and in the African American population the gene is not present even with the disease. 

The other condition which may cause osteophytes is diffuse idiopathic skeletal hyperostosis.(DISH). In this condition bone grows into ligaments tendons and joints.  Rather than an autoimmune disease,  it is a radiologic diagnosis with an unknown cause except in the case where the patient is taking isotretinoin. It is   treated with physical therapy and discontinuation of isotretinoin.. It often occurs in males over 50 with diabetes and those taking retinoids. An example is shown below of a patient with DISH who had been treated for acne with isotretinoin. Isotretinoin is a synthetic Vit A derivative that promotes bone growth leading to calcification of ligaments.  

35 y.o. with cystic acne treated with isotretinoin and vertebral osteophytes.

Our patient had his osteophyte surgically removed.  His ankylosing spondylitis was treated with a JAK inhibitor.

INTERESTING FACT

Ankylosing spondylitis patients can be very difficult to intubate because of a rigid spine, fixed flexion deformity of the thoracic spine and temporomandibular joint disease.  Awake retrograde oral intubation with a local block has been reported for successful intubation.

difficult intubation with ankylosing spondylitis

A superior laryngeal nerve block was given as well as infiltration of the cricothyroid membrane.   A 15 G epidural needle was passed thought the membrane with a saline filled syringe,  air was aspirated and 1.5 cc of lignocaine injected. An epidural catheter was passed through the needle and retrieved in the mouth.  The tube was passed over the catheter into the cords. ENT was on standby for the entire procedure.

Wang X, Zhang W. dysphagia in a patient with ankylosing spondylitis: a case report . World J clin Cases 2024. Mar 6;9(7):1639-1645.

Resnick D, Shapiro RF, Wiesner KB, Niwayama G, Utsinger PD, Shaul SR. Diffuse idiopathic skeletal hyperostosis (DISH) [ankylosing hyperostosis of Forestier and Rotes-Querol] Semin Arthritis Rheum. 1978;7:153–187. doi: 10.1016/0049-0172(78)90036-7.

Zhao S, Goodson N. Diffuse idiopathic skeletal hyperostosis and isotretinoin in cystic acne. BMJ Case Rep. 2015 Jun 23;2015bcr2015209775. Doi:10.1136/bcr-2015-209775.

Raval C, Patel H, Patel P, et al. Retrograde intubation in a case of ankylosing spondylitis posted for correction of deformity of spine. Saudi J Anaesth. 2010 Jan-Apr;4(1):38-41.

 

Rosanne Naunheim1 Comment