A 32 y.o. woman presents to the ED for sudden onset of shortness of breath.

She has no previous medical history.

Her O2 sat is normal. What are you concerned about?

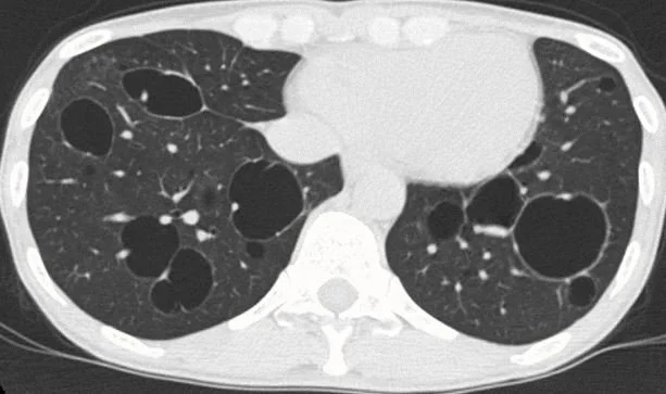
Our patient had lymphangioleiomyomatosis (LAM).  This is a rare cystic lung disease that occurs mainly in young women in childbearing years.  It is rare,  but 50% of patients present with pneumothorax  resulting in presentations for emergency care. It is often found in association with tuberous sclerosis complex(TSC) and is a congenital defect associated with TSC1 and TSC2 gene mutations. These mutations lead to dysregulation of the rapamycin (mTOR) signaling pathway resulting in unchecked muscle cell growth in the lung.  This leads to air trapping, creating thin-walled cysts that can rupture.

thin walled cysts in LAM

In addition to pneumothoraces, renal angiomyolipomas, meningiomas, and chylothorax may result from the genetic abnormality.

If you included catamenial pneumothorax  in your differential you would also be correct. Pneumothorax is a common presentation of thoracic endometriosis. It occurs within 72 hrs of menstruation and accounts for 3-6% of spontaneous pneumothorax cases in women of childbearing age.

It is thought that thoracic endometriosis occurs when endometrial cells travel through the fallopian tubes during menstruation.  If they do not implant in the abdomen they follow the clockwise peritoneal currents which flow from the pelvis to the R paracolic gutter and the R hemidiaphragm.  They either implant on the diaphragm or travel through the diaphragm into the pleural cavity. Implantation on the visceral pleural can result in rupture causing a pneumothorax.

brownish endometrial implants on the lung in a 40 40 with spontaneous pneumothorax . Walker C. Tumorlike conditions of the pleura. Radiographics 2012 32:971-985

Lung diseases in women

In addition to LAM and catamenial pneumothorax other  lung diseases  are common in women and thought to be due to their higher estrogen levels. Autoimmune diseases like lupus are more common in women and can result in interstitial lung disease.  Women have higher rates of asthma, lung cancer and pulmonary hypertension when differences in age, smoking status, income, ethnicity, and education are taken into account.  Women are 37% more likely to have COPD than men. Spirometry is recommended to detect COPD in women who present with shortness of breath. 

Interestingly, post menopausal hormone replacement therapy, which is currently being advertised in the lay press as “ a cure for mood swings, hot flashes and low energy” ,has been reported as causing a return of endometriosis in women who have had it previously.

OUR PATIENT
A work up for tuberous sclerosis was done which was negative.   Dermatological exam did not show shagreen patches or facial angiofibromas. . A CT of the abdomen showed  only a right renal cyst.

Mechanical pleurodesis was done rather than chemical since pneumothoraces can recur..Treatment was begun with a rapamycin inhibitor (sirolimus)i and anti estrogens since the smooth muscle cells have estrogen receptors.  High levels of vascular endothelial growth factor are also found in these patients and can be followed as a marker of disease.

Verma A, Joshi A, Mishra A et al. Pulmonary lymphangioleiomyomatosis presenting as spontaneous pneumothorax treated with sirolimus- a case report. Lung India. 2018 Mar-Apr;35(2):154-156.

Rodenko P, Elefteratos J, Rodenko E, et al. Sporadic lymphangioleiomyomatosis in a  35 y.o. female patient: a rare case of spontaneous pneumothorax. Cureus. 2025. Jul 5;17(7):e87346. Doi:10.7759/cureus.87346

Pinkerton K, Harbaugh M, Han M, et al. Women and lung disease.sex differences and global health disparities. AM J Respir Crit Care Med. 2015 Jul 1:192(1):11-16.

Bain E, Pierides KL, Clifton VL, Hodyl NA, Stark MJ, Crowther CA, Middleton P. Interventions for managing asthma in pregnancy. Cochrane Database Syst Rev. 2014;10:CD010660. doi: 10.1002/14651858.CD010660.pub2.

Centers for Disease Control and Prevention, National Center for Health StatisticsNational Health Interview Survey raw data, 2011. Analysis performed by the American Lung Association Research and Health Education Division using SPSS and SUDAAN software. 2011 [accessed 2015 Jun 5]. Available from: http://www.lung.org/finding-cures/our-research/trend-reports/copd-trend-report.pdf

Erel C, Nigdelis M, Erkan I. Endometriosis and menopausal health: an EMAS clinical guide Maturitas.2025 202 108715

Gemmell L.C., Webster K.E., Kirtley S., Vincent K., Zondervan K.T., Becker C.M. The management of menopause in women with a history of endometriosis: A systematic review. Hum. Reprod. Update. 2017;23:481–500. doi: 10.1093/humupd/dmx011

Rosanne Naunheim2 Comments