A 40 y.o. farm worker from Mexico comes to the ED with fever and RUQ pain

A stool for ova and parasites is negative. What does he have?

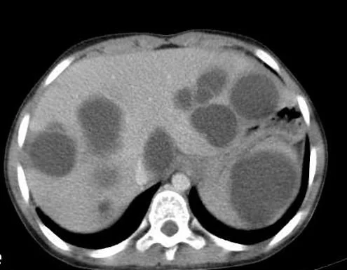
Our patient had amebic liver abscesses. 

Entamoeba histolytic is a parasitic protozoan transmitted  by ingesting water contaminated with feces. It is estimated that It  affects 12% of the world’s population with 90% of infections being asymptomatic .  While many people are asymptomatic, others develop fever, diarrhea and abdominal pain. Two stages of the organism are present: the cystic stage and the infective or trophozoite stage. The cysts are ingested in contaminated water and in most people the trophozoites that develop in the intestine are shed in the feces.  In others, the trophozoites  penetrate the intestinal wall into blood vessels and travel through the portal circulation to the liver  where abscesses form.  Amebic abscesses have been reported in other organs including the brain, kidneys and heart but the liver is the most common.

DIFFERENTIAL FOR LIVER ABSCESS

Bacterial abscesses – most commonly as a result of cholangitis. Staph, Strep and gram negative bacteria are the usual organisms. Melioidosis  is a term for abscesses caused by Burkholderia pseudomallei. It is rare in the US but common in Asia.  Secondary liver abscesses are also known to be associated with diverticulitis.

Hydatid cysts- are caused by a larval form of the Echinococcus tapeworm.  The highest rates of infection are seen in the Mediterranean and Middle East with dogs being the main host.

hydatid cysts

Fungal infections-  are most common in immunocompromised individuals. These account for <10% of liver abscesses.  

Hepatic trauma- Surgical and non-surgical trauma can result in abscesses.

Hepatic malignancies- are often multicentric resembling cysts.

The disease is most common in men from 18-40 and ten times more likely in men than women. Symptoms usually occur in 2 to 4 weeks after exposure in an endemic region although there are reports of delayed presentations months to years after exposure. The genetic background plays a role in the development of abscesses.. The Mexican mestizo population is at risk for development of amebic liver abscesses .because of the presence of  LA-Bwl6 and HLA-DRB3 alleles.

Abscesses may rupture into the pleural cavity or abdomen. Rupture into the pericardium may cause tamponade. Thrombosis of the inferior vena cava has also been reported.

the fluid removed from an amebic abscess is described as anchovy paste.

Diagnosis

Only 10% are diagnosed on stool examination while serologic testing is 95% sensitive with indirect hemagglutination (IHA) or ELISA.

Treatment

Treatment is with metronidazole 500 to 50 tid for ten days followed by paromomycin. Aspiration is needed if the lesion is five cm or greater. Surgery is generally required for lesions that rupture.

Our patient was treated with pigtail catheters placed into the lesions and was given metronidazole.  He recovered successfully.

Arellano-Aguilar G, Marín-Santillán E, Castilla-Barajas JA, Bribiesca-Juárez MC, Domínguez-Carrillo LG. A brief history of amoebic liver abscess with an illustrative case. Rev Gastroenterol Mex. 2017 Oct-Dec;82(4):344-348. 

Francis C, Soni S, Gupta A, et al. A case report of ruptured amoebic liver abscess causing cardiac tamponade and requiring pericardial window. Eur Heart J Case Rep 2020 Aug 30;4(5):1-4.

Arellano J, Isibasi A, Miranda F et al. HLA antigens associated to amoebic abscess of the liver in Mexican mestizos. Parasite Immunol. 9 1987 757-760.

Bello-Lopez J, Cruz-Cruz C, Loyola-Cruz M, et al. Epidemiology of the first seven years of national surveillance of amoebic live abscesses in Mexico. Parasitology International Vol 92 Feb 2023 102678.

Gordon J, A History of Preventive Medicine in the European Theater of Operations, US Army, 1941-45. jh

Rosanne Naunheim2 Comments