A 45 y.o. welder with a hx of hypertension comes to the ED with tingling and pain in both feet.

What could be the origin of his problme?

Our patient had manganism caused by overexposure to manganese(Mn)  fumes during welding.

This refers to a range of symptoms including peripheral neuropathy , and a Parkinson-like disease with tremors, psychiatric symptoms,  and muscular rigidity.  It was first described in 1837 by John Cooper when workers involved in grinding Mn ore developed paraplegia.

Studies have shown that Mn facilitates the synthesis of fatty acids, cholesterol and mucopolysccharides which  maintain cartilage and bone. It is considered an essential nutrient since the body does not make it and 11mg/day is generally acquired through diet.

DISEASES THAT OCCUR FROM MANGANESE EXPOSURE

Metal fume fever-  is a self limited disease caused by exposure to metal fumes. Zinc oxide fumes result when welders cut galvanized steel.  It presents with fevers, headache and myalgia.  It is generally gone in 48 hours. The classic story is that it occurs at work and is gone on the weekend when the patient is not at work.

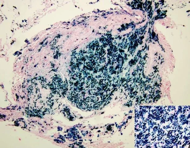
Pulmonary siderosis- is caused by chronic inhalation of iron oxide fumes during welding with iron accumulating in the lungs. Small nodules are seen in the lungs on cxr and chronic lung which can be asymptomatic.

iron in the lung of a welder stained with Prussian blue.

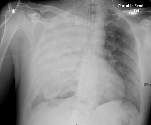
Anthrax- Bacillus cereus, traditionally thought to be a foodborne pathogen, has been associated with an anthrax-like disease in humans.  Currently the most cases have been found in Louisiana and Texas in welders.  In cases studied, B. cereus had acquired the anthrax plasmid pX01 and pXO2  which enable it to cause a severe and often fatal disease. The abnormal CXR and fever may be the presenting signs. This IS NOT Bacillus anthracis although both inhaled anthrax and B. cereus can present with abnl CXRs.

39 y.o. with welder’s anthrax from B cereus who received .the anthrax monoclonal antitoxin, raxibacumab.

Cataracts- 14% of welders develop cataracts from UV light exposure.

Neurodegenerative disease.- a Parkinson’s like condition can develop from manganese toxicity with deposition of Mn in the basal ganglion.

Our patient was treated for his hypertension but on discussion with neurology it was felt his peripheral neuropathy should be treated symptomatically with gabapentin.

FUN FACTS

Mn is a group 7 metal  and the 12th most abundant element in the earth’s crust.  Because the outer electron shell can donat up to 7 electrons it can occur in 11 different oxication states.  In humans it can be found at Mn2+, Mn3+, Mn4+, Mn5+, Mn6+ and Mn7+. 

Mn was found on the ocean floor in 1873 when the deep ocean was dredged by the HMS Challenger.   Spherical rocks were found which turned out to be Mn surrounding fossil shark teeth.

 

Kasi L, Shah N, Mahadevia H, et al. Mystery of manganism in the mind. The primary care companion for CNS disorder. Case Report Feb 22,2024. https://doi.org/10.4088/PCC.23cr03622

Baldwin V. You can’t B. cereus-a review of Bacillus cereus strains that cause anthrax-like disease. Microbiol 2020 Aug 19;11:1731,

Hendricks K, Martines R, Bielamowicz H, Welder’s anthrax a tale of two cases. Clinical Infectious Diseases 2022. 75(issue supplement 3)

 

Rosanne Naunheim1 Comment