A 55 y.o. male farmer presents with fever and confusion in August in St. Louis.

What do you notice on his MRI?

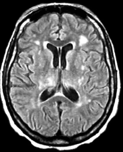
T2-weighted FLAIR shows T2 signal increase in the white matter, basal ganglia and L insula consistent with his meningoencephalitis. His LP was positive for lymphocytes and tested positive for West Nile IgM.

West Nile virus was first described in 1937 in the West Nile  district of Uganda.  It was recognized as a cause of meningoencephalitis in elderly patients  in 1957 in Israel. It first appeared in the US in 1999.  The virus is transmitted by the Culex mosquito.  West Nile has been found this summer, 2025,  in mosquitoes tested in St. Louis County. 

Most infections are asymptomatic  but some patients present with acute paralysis similar to polio and some present with  meningoencephalitis as in our patient .  A minority of patients develop a rash on the trunk and extremities.

The diagnosis is made by having a high index of suspicion and sending blood for IgM antibody to West Nile virus in CSF or blood.  It must be collected within 8 days of onset.  Blood samples are less reliable since it can persist in the blood for 500 days  after a previous infection. Blood samples may also be positive after infection with other flaviviruses so a positive test should be confirmed with a state lab or the CDC who perform plaque-reduction neutralization tests for other viruses. Often acute and convalescent serum samples must be collected two weeks apart.

HOW TO IDENTIFY THE MOSQUITO BITING YOU

First of all,  you know it has to be a  female mosquito—only females bite.

The Culex mosquito bites holding itself parallel to the surface.

 Culex mosquitoes bite while their bodies are positioned parallel to the surface they are on and can be identified by their black and white stripes. They bite at dusk and dawn and are responsible for the transmission of Japanese Encephalitis, West Nile virus,  and Usutu virus.

The biting angle for Anopheles and Aedes aegypti

Anopheles mosquitoes bite at 45 degree angle.  They are responsible for the transmission of malaria and filariasis. While they primarily bite at night, 20% of  bites occur indoors in the daytime.  While not a public health problem today in St. Louis,  Anopheles mosquitoes caused an outbreak of malaria during the 1904 worlds fair in St. Louis. Malaria was considered eliminated in the US in the 1950’s because there was no reservoir of infected people for mosquitoes to feed on. However, several sporadic outbreaks have been reported in Florida and also among drug users who share needles.

 Aedes aegypti ( Asian tiger mosquitoes)  are responsible for the transmission of dengue, zika yellow fever and chikungunya.  It is a daytime biter and holds its body in an inverted V when it bites. . The Aedes mosquito has a black and white pattern .

In summary, if a mosquito bites holding its body at a 45 degree angle (the hallmark of an Anopheles mosquito) you are at risk for malaria. If the mosquito bites at a different angle you are still at risk for many other arboviruses that cause illness.  People on immunosuppressive drugs are at greatest risk.

Our patient was profoundly disabled and not able to care for himself.  He was placed in a nursing home.

TRIVIA

World Mosquito Day is celebrated Aug. 20.  It commemorates Sir Ronald Ross who in 1897 discovered that mosquitos transmit malaria.

Malaria kills over 600,00 people a year world wide.

.Zak I, Altnok D, Merline J, et al. West Nile virus infection. AJR Vol 184(3). https://doi.org/10.2214/ajr 184.3.01840957

Staples J, Gibney K, Panella A ,et al. Duration of West Nile virus immunoglobulin M antibodies up to 81 months following West Nile virus disease onset. Am J Trop Med Hyg 2022;106(6):1721-1724,

Kapadia R, Staples J, Gill C, et al. Severe arboviral neuroinvasive disease in patients on rituximab therapy: a review. Clin Infect Dis 2023;76(6):1142-1148.