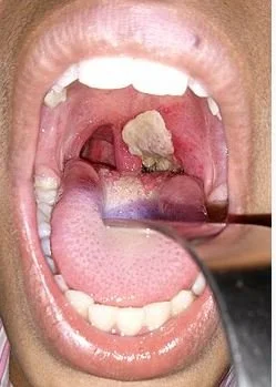
A 29y.o. male comes back from a vacation in Spain with a fever and sore throat. Exudate was noted in the oropharynx

hint: he was feeding feral cats

Our patient had diphtheria. He was feeding feral cats on an isolated farm.  Sequencing  identified the human and animal isolates as sequence type (ST) 514. Sequencing of the whole genome (MLST ) revealed no difference  between the human and cat strains. He had acquired diphtheria from his cat.  In the animal kingdom cats, dogs and pigs can transmit the bacteria.

feral cats

Diphtheria is  a highly contagious bacterial disease caused by  gram positive bacilli: Corynebacterium diphtheriae or corynebacterium ulcerans. The standard throat swab can identify corynebacteria but many species are normal flora.  To identify diphtheria producing species the lab should be notified that diphtheria is in the differential and culture the sample on Loeffler agar if any corynebacteria is identified. The next step is a PCR test for the tox gene. This commonly is sent to the CDC where an ELEK test is also done to see if the bacteria is producing toxin. Since all this takes three weeks; treatment is recommended when there is high clinical suspicion .  

autopsy specimen of the larynx of an individual dying of diphtheria

Diphtheria toxin is produced only by bacteria infected with a type of bacteriophage.  This is why most cases are mild and present with just fever and sore throat. In those that progress beyond a throat infection, the toxin can cause systemic complications .  Those with the bacteriophage produce a  toxin which can be deadly. In severe cases the neck nodes enlarge and dense membrane to form because of toxin induced cell death Airway compromise can occur and prior to the antibiotic era tracheostomy was the only treatment at this stage. A toxin released by the bacteria  can cause AV block and  nerve damage leading to paralysis of eye,neck throat or respiratory muscles. TheCDC recommensds DAT( diphtheria antitoxin( after a skin test) and antibiotics be given . Penicillins or erythromycin can be given.  A follow up culture is recommended.

There are individuals with diphtheria that have only a cutaneous form and no pharyngeal involvement.  The CDC recommends only antibiotics for these individuals.

cutaneous diphtheria

OUTBREAKS OF DIPHTHERIA HAVE OCCURRED MANY TIMES IN THE PAST AND ARE STILL OCCURRING.

2025- In Somalia almost 2,000 cases have been reported with 5% mortality.

2022- In Europe  there was a large outbreak in migrant populations with 77% presenting with cutaneous lesions. 362 cases were reported.

1925- A diphtheria outbreak in Nome Alaska was identified by Dr. Curtis Welch when he treated a two year old boy  with pharyngitis who died .  A seven year old girl died the next day and he sent out emergency telegrams asking for antitoxin.  The only way to deliver antitoxin in the winter was by the Iditarod trail.  Balto, the lead dog that first arrived in Nome with the antitoxin, was the hero of the day.

Balto

1887- In London contaminated cistern containing water contaminated with diphtheria Soil and water also transmit the bacteria. A famous outbreak occurred in London linked to this water source,

It is presumed since the patient had no other exposures and the cat had the same bacteria, that it was a zoonotic transmission.  The cat was treated with IV antibiotics and the patient was give antibiotics as well as DAT. Both recovered.

INTERESTING FACT

Following the COVID pandemic immunization coverage dropped to its lowest level since 2008 in France with a rise in cases of diphtheria as well. In the US vaccination rates are down as well with 95% being vaccinated in 2020 and only 92% vaccinated in 2024.  Achieving broad immunity requires at least  85% coverage.    

Hoefer An, Leon S, Dominguez L, et al. Zoon(otic transmission of diphtheria from domestic animal reservoir, Spain. Emerg Infect Dis . 2022 Jun;38(6):1257-60.

St Georges University of London    https://www.youtube.com/watch?v=FlHMF8diFmBoucher C, Dadban A, Pagniez E, et al. Reemergence of diphtheria in France: description of 3 cutaneous cases. JAAD case reports

2024. Vol52 :142-145.

Zink A, Hofer J, Schneider C, et al Management of outcome of cutaneous diphtheria in adolescent refugees in Germany June 2022-Oct 2023. Infection 2024 Aug 27;53(1):329-337.

Lamichhane A, Radhakrishnan S Diphtheria StatPearls Feb 26,2024.

https://www.cdc.gov/laboratory/specimen-submission/detail.html?CDCTestCode=CDC-10136

Rosanne Naunheim2 Comments