A 32 y.o. female presents with elevated liver function tests. AST repeatedly measures high and is currently 215. She also complains of leg weakness.

She has already been evaluated and does not drink alcohol. Hep BS Ag and C Ab are negative. Bilirubin is normal. She does not take medications or herbal supplements. Autoimmune hepatitis has been ruled out with ASMA, ANA, and anti-LKM-1 all negative. A liver biopy was normal. What test needs to be done?

An MRI shows diffuse myositis. What two tests are still needed?

Our patient has myositis after COVID.  The key tests which were not done were a covid test and  a creatine phosphokinase (CPK). CPK is elevated in myositis and there would have been no need for a liver biopsy.

Myositis often presents with elevated liver enzymes since skeletal muscle produces these enzymes.

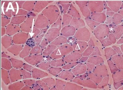
The vastus lateralis from a young woman hospitalized with Covid is shown above.  H&E shows a necrotic fiber at the arrow replaced by macrophages, regenerating fibers at the stars

CAUSES OF MYOSITIS

Viral- 44% of individuals with COVID develop a myopathy .  Hep B and Hep C

Autoimmune- polymyositis, dermatomyositis, inclusion body myositis (often occurring in elderly males)  Autoimmune orbital myosis affects the extraocular eye muscles and mimics cluster headaches.

Drug related myositismost commonly :statins, but also  labetolol, proprofol , steroids cyclosporin, tacrolimus. L tryptophan(eosinophilia-myalgia syndrome)

Myositis can be a complication of immunotherapy and can be fatal due to secondary myocardial inflammation.

L tryptophan was taken to increase serotonin and improve mood in the 1980’s and .cases of eosinophilic myositis  were linked to a Japanese manufacturer. They developed fibrosis of the limbs after myositis.

Toxins- alcohol is the most common.

Genetic causes- muscular dystrophies, Wilson’s disease, hemochromatosis. Hemochromatosis can cause iron overload myopathy where excess iron interrupts mitochondrial function and energy production.

Myositis or muscle inflammation is not to be confused with rhabdomyolysis where muscle dies.  This can be caused by extreme exertion and CK levels are often above 10,000 U/L. The urine is dark and muscles are profoundly weak.  The treatment of rhabdomyolysis is fluid and electrolyte management. However, in addition to rhabdomyolysis exercise can also lead to myositis. There are multiple reports of exercise causing a myositis which resembles scleroderma with skin thickening and limb stiffness. Below is a picture of a 22 y.o. with a groove sign and myositis after exercise. The “groove” is caused by fibrosis in the underlying tissues and appears along the course of a blood vessel.

Our patient recovered after steroids.

 

Coimbra T, dos Santos J, Shinkado Y, et al. Eosinophilic fasciitis: clinical signs leading to diagnosis.2022 Annals of Internal Medicine Clinical Cases Vol 1(8); https://doi.org/10.7326/aimcc.2022.0237.

Hurvitz N, Kenig A, Kesler A, et al. A unique case of myositis. Rambam Maimonides Med J. 2022 Oct 27;13(4):e0030,doi:10.5041/RMMJ.10481.

Soares M, Eggelbusch M, Naddaf E, et al. Skeletal muscle alterations in patients with acute Covid-19 and post-acute sequelae of Covid=19. Jan 2022 Https://doi.org/10.1002/jcsm.12806.

Hurtzman P,Blevins W, mayer J, et al. Association of the eosinophilia=myalgia syndrome with the ingestion of tryptophan. N Engl J Med 1990;322:869-73

Ghamdi H. Vigorous exercise-induced unilateral eosinophilic fasciitis: rare and easily misdiagnosed subtype. Int J Clin Exp Pathol. 2020 . Jul 1;13(7): 1739-1744

 Pasnoor M, Barohn R, Dimachkie M. Toxic myopathies. Neurol Clin. 2014 Aug 32(3):647

 Abdelrahman M, Abdel-baset A, Younis M, et al. Liver fHhunction test abnormalities in COVID-19 patients and factors affecting them-a retrospective study. Clin Exp Hepatol 2021 Sep 23;7(3): 297-304.

Agha O, Kaur S, Vijayavel N. Statin-induced necrotizing autoimmune myopathy and autoimmune hepatitis presenting with dysphagia. BMJ Case Rep.3030 Feb 5;13(2):e232391. Doi:10.2246/bcr-2019-232301

Kumar R, Kumar U. Groove sign: heeding clue to eosinophilic fasciitis . Eur J rheumatol. 2019 Sep 5;7(1):52.

Bilateral muscle edemal

Ferrandi PJ, Alway SE, Mohamed JS. The interaction between SARS-cov-2 and ACE2 may have consequences for skeletal muscle viral susceptibility and myopathies. Journal of Applied Physiology 2020; 129: 864–67. doi: 10.1152/japplphysiol.00321.2020