A 63 y.o. female presents with R flank pain

What do you see on CT?

Our patient had xanthogranulomatous pyelonephritis. This is a rare variant of chronic pyelonephritis where the infection has gone on so long, the renal tissue is replaced with granulomatous tissue and lipid laden macrophages.  The term”xantho”  is Greek meaning yellow and refers to the infiltrationof lipid-laden macrophages that appear yellow in pathological section.  This was first described by Schlgenhufer in 1916.  It occurs in 1% of  cases of renal infections.

This can be confused with a true neoplasm because it can  involve adjacent structures or organs.the presentation can also be confused with renal tuberculosis so a history of travel is important. Sterile pyuria is the hallmark of renal tuberculosis.

renal tuberculosis

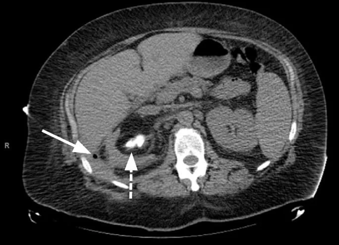
The condition can be recognized on CT where it often is associated with a staghorn calculus as in the case of our patient or the “bear paw sign”.

bear’s paw

bear’s paw in xanthogranulomatous pyelonephritis.

The initial treatment of xanthogranulomatous pyelonephritis is antibiotics but nephrectomy is often needed.  If untreated it can lead to  psoas abscess, nephrocutanous fistulae, nephrocolonic fistulae , secondary amyloidosis or sepsis.

nephrocutaneous fistula from xanthogranulomatous pyelonephritis.

Our patient had been treated with antibiotics and had no function in the kidney.  She was scheduled for urology clinic to discuss nephrectomy. 

 

Wu ST. Bear paw sign: classic presentation of xanthogranulomatous pyelonephritis. QJM. 2019 Jun 01;112(6):461-462presentation can also be confused with renal tuberculosis so a history of travel is important.

Goonewardene S, Persad R.  Sterile pyuria: a forgotten entity. Ther Adv Urol 2015 Oct;7(5):295-298.

Dawoud S, Solomon R, Eyerly-Webb S, et al. Pyeloduodent fistula in xanthogranulomatous pyelonephritis. A series of two cases. Perm J. 2018. 22:17-150.

Above is a R perinephric hematoma in a patient with a ruptured renal cyst on eliquis. He required transfusions and had had a previous perinephric bleed on the L.