A 31 y.o. woman comes to the ED with HA. She had a significant head injury six weeks earlier when she fell off an inner tube being pulled behind a ski boat.

She continued to have headaches and you order an MRI

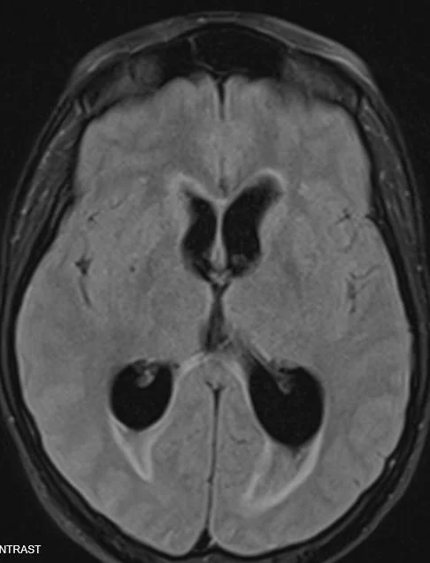
what does it show on the T2 weighted image?

Our patient had post traumatic hydrocephalus.  This was originally described in 1914 when Dandy discussed a case of hydrocephalus in a young boy with a severe fall some time earlier..  Ventricular dilatation occurs regularly after severe head injury with an incidence of from 29-72%.    On CT the anterior horns of the lateral ventricles are dilated.  There is transependymal flow as shown below; this means the pressure in the CSF is so high it actually starts to move backwards into the brain.

The arrows point to transependymal flow on MRI caused by increased csf pressure

The clinical presentation of posttraumatic hydrocephalus  is variable including,:  headache, obtundation, failure to improve after injury, memory loss, gait trouble ,incontinence and emotional disorders. The usual recommendation is to place a shunt if the pressure is  high. The history is very important since it can occur up to a year or more after the injury.

 

Our patient was seen several times over three weeks in EDs.  She had a head ct 9/26 showing  mild anterior displacement and flattening of the brainstem, trace periventricular interstitial edema in the cerebellar white matter and mild ventriculomegaly. This was originally thought to be chronic and she was sent home.   She  returned 9/30 with continued headaches and had cranial nerve findings of diplopia and nystagmus.  MRI showed transependymal flow.  Her clinical status deteriorated after MRI at 7 AM  and she was  brought back to the ED where she was intubated at 11 AM. . A bolt was placed and her mental status improved.  CSF showed no growth and her trops were elevated in the thousands which was thought to be from demand ischemia. . 

 

A cine showed no CSF flow in the posterior foramen magnum There was an irregular non enhancing cystic mass caudal to the cerebellar vermis  resulting in crowding of the posterior foramen magnum.   This is currently thought to be an evolving hemorrhagic contusion/cyst  of the R inferior cerebellar tonsil.

a suboccipital craniotomy with microscopic removal of an arachnoid cyst.

Arachnoid cysts  are considered to be of inflammatory origin or traumatic.  They and can simulate a cerebellar tumor and occur years after the original trauma.  They have been reported following  infection of the middle ear.  It is thought that inflammation causes scarring of the meninges and results in obstruction of CSF pathways leading to dilation of the cisterna magna.

 

 

   WHAT WE KNOW

1.     This patients HA was caused by hydrocephalus and was relieved by a shunt.

2.     She had no flow of CSF through the foramen magnum.

3.     The patient is awake and talking; scheduled for base of the skull surgery to determine exactly what is present in the cerebellum.

4.     If there is an imbalance between CSF production and absorption, whether caused by blood products preventing CSF  absorption or fibrosis after infection or trauma, increased pressure results.

THE TAKE AWAY

If a concerned ED resident had not contacted the patient after her discharge 9/26 and encouraged her to return to the ED , she might have arrested at home.

 

 

Beyerl B, Black P. Posttraumatic hydrocephalus Neurosurgery 1984 Aug;15(2):257=61.

Dandy W, Blackfan K. Internal hydrocephalus: an experimental, clinical and pathological study.1914   Am J Dis Child 8:406-482.

Mazzini L, Campini R, Angelino E, et al. Posttraumatic hydrocephalus: a clinical, neuropsychologic assessment of long-tern outcome.. 2003 Arch Phys Med Rehabil. Nov;84(11):1637-41.

Peyser E, Weissberg D. Post traumatic arachnoidal cyst . 1961. Journal  of Neurosurgery. Volume 18: Issue 4.

Martinez-Lage J, Perez-Espejo M, Almagro M, et al. Hydrocephalus and arachnoid cysts. Childs Nerv syst. 2011 Oct;27(10: 1643-52.