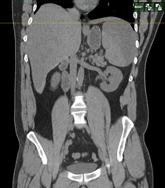
A 37 y.o. male fell off his segway one week pta. a ct of the abdomen is shown below.

Hint: It is normal

Hint: It is normal

delayed rup.JPG

He returns 12 days later with one day of shoulder pain and flank pain.  What happened?

Our patient had a delayed rupture of the spleen.  This is defined as an injury followed by a negative CT and then a proven rupture of the spleen at a later date. Our patient  was riding on a Segway when the R wheel caught on a wall.  He had to step off in front of it.  The Segway hit his leg and and he swung around so it hit his upper abdomen causing him to fall to the ground.  He had the CT shown which was read as normal.  Three days later he began to complain of “muscle spasms” .  Ten days after the injury he came in with L flank pain and had the second CT showing a large subcapsular hematoma of the spleen.

Delayed splenic rupture was first described in 1902 by Baude who noted its occurrence 48 hours after trauma. Most often it occurs 4-8 days after trauma. Potential mechanisms include expansion of a subcapsular hematoma, clot disruption, and rupture of a pseudoaneursym or pseudocyst.  Splenic abscesses and pancreatic pseudocysts may result as well after trauma.

splenic pseudocyst

splenic pseudocyst

Our patient was admitted to surgery and watched  over night.  He had Kehr’s sign with pain in the L shoulder. He remained stable and was discharged the next day. Segway accidents are on the rise with 40% of the admitted patients admitted to the ICU according to a study from George Washington Hospital in DC.

Ironically, James Heselden, owner of the company that makes the Segway died in a Segway-related mishap where he fell off a 30 foot cliff in England.

 

Ashurst J, Wagner B.  Injuries following Segway personal transporter accidents: case report and review of the literature. West J emerg med. 2015. 16(5):693-695.

Freiwald S. Late-presenting complications after splenic trauma. Perm J. 2010 14(2): 41-44.

Berlatzky Y, Shiloni E, Anner H, Weiss Y. Delayed rupture of the spleen or delayed diagnosis of the splenis injury? Isr J Med Sci 1980 sep-oct;16;(9-10):659-65.

Schwartz SI editor-in-chief, Shires GT, Spencer FC, editors. Principles of Surgery . 5th edition. New York: McGraw-Hill;1989.