A 61 y.o. woman on steroids for COPD comes in with back pain; she is sent in to rule out cauda equina.

this is her MRI. What does she have?

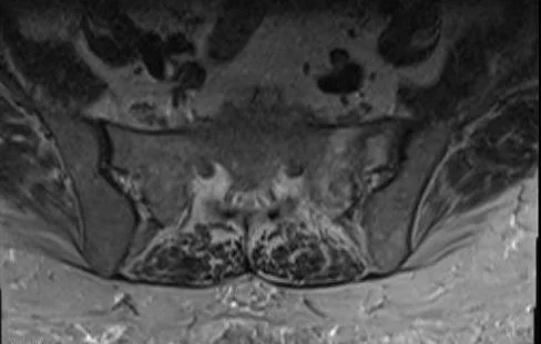
hint: it has something to do with the edema near the arrow

hint: it has something to do with the edema near the arrow

sacral insuarr.jpg

Our patient has a sacral insufficiency fracture.  This is a stress fracture of the sacrum and is a common cause of low back pain in the elderly with osteoporosis who do not experience trauma.   Bone scan and MRI are the most sensitive means of detection. Patients are managed conservatively  with bed rest and rehabilitation. More recently, sacroplasty( a minimally invasive procedure similar to vertebroplasty)  has emerged as an alternative therapy.  The sacral insufficiency fracture is found in the sacrum parallel to the SI joint. 

The fractures can form an H across the body of the sacrum

The fractures can form an H across the body of the sacrum

The  sacral insufficiency fracture was first described by Lourie in 1982. Although they are found most commonly in osteoporosis they can be found in steroid-induced osteopenia, rheumatoid arthritis, paget's and renal osteodystrophy.  The incidence  may be as high as 89% in patients undergoing pelvic radiation for cervical cancer.

Patients present with low back pain and sacral radiculopathy mimicking cauda equina syndrome.  Pain is often in the buttock , hip, or groin not necessarily over the sacrum. They are often associated with pubic rami fractures.

Elderly patients with trauma can also fracture in the same place as those without trauma, due to weakening of the bone. Below, is a patient sp an mvc with a negative pelvic xray and a sacral fracture on CT.

sif.jpg

Our pt was managed conservatively.

Lyders EM, Whitlow CT, Baker MD, Morris PP. Imaging and treatment of sacral insufficiency fractures. 2020 AJNR 31 202-210.

Lourie H. Spontaneous osteoporotic fracture of the sacrum: an unrecognized syndrome in the elderly. JAMA 1982;248:715-717.

Blomlie V, rofstad E, Talle K, et al. Incidence of radiation-induced insufficiency fractures of the female pelvis: evaluation with MRI imaging AJR Am J Roentgenol 1996;167:1205-10.

Butler CL, Given CA, Michel SL, Tibbs  PA. Percutanwous sacroplasty for the treatment of sacral insufficiency fractures. AJR 2005 184:10956-59.