A 64 y.o. diabetic presents with L flank pain and elevated blood sugar. His CT is below.

What is the reason for his pain?

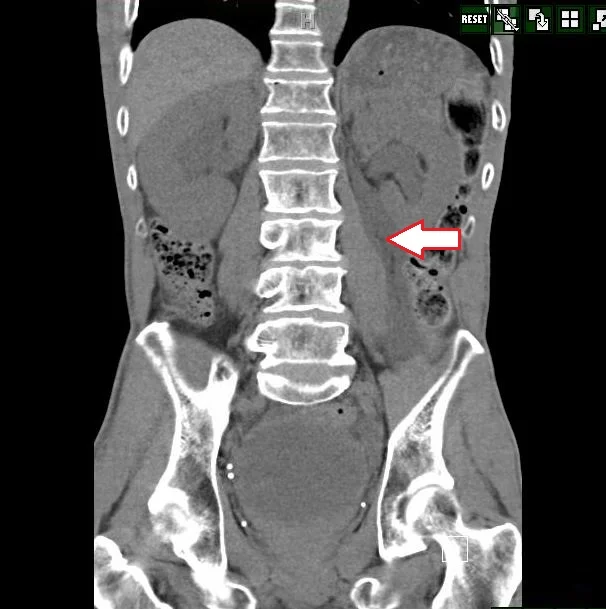
Our patient had a rupture of his L kidney caused by obstruction. Forniceal rupture occurs from several causes.  In a study of 100 cases of kidney rupture:  obstructing stones caused 74% of ruptures, with malignant external compression of the ureter causing 8.3%,  Benign extrinsic compression caused 1.9%, pelvic ureteral obstruction caused 1.9% with vesicoureteral obstruction causing the same number.  They listed 3.7%  as iatrogenic (i.e. during stent placement)  and bladder obstruction in 0.9%.  Bladder obstruction was the cause in our patient.  Several patients had unusual causes of obstruction, for example, an aortic aneurysm. In children obstruction is often at the pelvis of the kidney.

The most common cause of kidney rupture, obstructing stones were also studied and the average stone size was 4 mm.  Once the kidney ruptures, either the urine becomes encapsulated forming a urinoma or becomes free fluid in the peritoneal cavity, urinary ascites.

The treatment is relieving the obstruction; in the case of our patient a foley was placed.  In cases where a stone is present, a stent is often placed. Doppler US can indirectly provide a measure of renal pelvis pressure.  Thanks to Drs. Schwarz, Ruoff and Kane for the case.

Allin B, Chetwood A, Khoubehi B, DasGupta R. Ruptured renal calyx mimicking leaking abdominal aortic aneurysm.  BMJ Case Reports.

Mostbeck GH, Zontsick T, Turetschek. Ultrasound of the kidney: obstruction and medical diseases. European J of Rad Vol 11(10) 2001, 1878-89.

Tsai, J, Huang F. Intermittent hydronephrosis secondary to ureteropelvic junction obstruction: clinical and imaging features.  Pediatrics Jun 2006, vol 117(4).

Gershman B, Kulkarni N, Sahani D. Eisner BH. Causes of forniceal rupture.  2011. BJU. Discussion 1912.