A 61 y.o. Hispanic male presents with a headache.

Why does he have a headache?

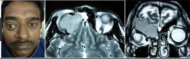
Our patient had a benign condition; a mucocele. The term mucocele was first coined by Rollet in 1896. This is a collection of mucous which cannot drain because of sinus ostia  blockage and results in bony expansion due to continued production of mucous. This either occurs because of chronic infection/chronic allergies or as a result of trauma.

In this case the mucocele was in the maxillary sinus but they can occur in the frontal sinus and extend into the orbit, the ethmoid sinus compressing the optic nerve, and the sphenoid sinus compressing the pituitary and brainstem or causing cavernous sinus thrombosis.  Two thirds of all mucocles occur in the frontal and ethmoid sinuses.  Mucoceles are rare in the pediatric population except in cystic fibrosis. The mucocele below is in the frontal sinus and causing proptosis. 

If a mucocele becomes infected, there can be extension into adjacent spaces: intracranial extension can occur with empyema, meningitis or abscess, orbital extension can occur with subperiosteal abscess or subcutaneous extension can occur as in Pott’s puffy tumor of the forehead.

It is essential to differentiate a mucocele from a mucus retention cyst. A mucus retention cyst is just a fluid filled sac along the sinus lining which does not expand and push into the eye socket, nose or brain and does not cause problems in the vast majority of cases. It does not fill the whole sinus.  Mucus retention cysts in the sinuses are  common. They occur in 30-40% of the population with absolutely no complaints of sinus problems and are discovered incidentally on CT scans done for another reason.

The pictures above show the sphenoid sinus in a diagram and on CT. Sphenoid mucoceles can cause compression of the pituitary.  

Our patient underwent endoscopic sinus surgery with opening of the maxillary sinus antrum.  There were no complications.

Mafee MF, Valvassori GE, Becker M. Imaging of the head and neck. George Thieme Verlag. 2004 ISBN :15889000096.

Guttenplan MD, Wetmore RF. Paranasal sinus mucodele in cystic fibrosis. Clin Pediatrics ( phila_. 1989;28(9): 429-30.

Har-El G. Endoscopic management of 108 sinus mucoceles. The Larynoscope.  2001;111:2131-4.