A 29y.o. woman presents with abdominal pain. What do you notice on the CT?

silicone.JPG

Our patient had silicone buttock injections. Since her pain was upper abdomen and involved the R lower lungfield a silicone embolus was considered. How common is a silicone embolus?

Silicon was discovered in 1824 by Jons Berzelius.  Silicones are synthetic polymers made by combining silicon and oxygen, which at high temperatures and pressures produce polydimethylsiloxone, injectable silicone.

Silicone is used to enhance body shape and contour; often by illegal practitioners. Specific groups are known to use silicone enhancement :exotic dancers, prostitutes and transgender individuals.  Complications of silicone injections are in the range of 1-2% including silicone embolism to the lungs.  In 1983 silicone was detected in cells obtained from bronchoalveolar lavage by use of spectrophotometry in patients presenting with acute pneumonia. Since then, many cases of silicone embolism have been reported.

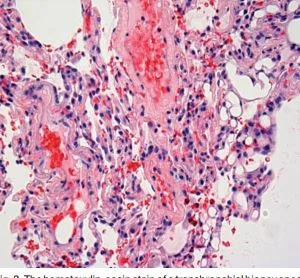
Transbronchial biopsy of a pt with silicone embolus with intra-alveolar hemorrhage and vaculolated glabular deposits of silicone in the interstitial capillaries.

Transbronchial biopsy of a pt with silicone embolus with intra-alveolar hemorrhage and vaculolated glabular deposits of silicone in the interstitial capillaries.

In the case of illegal silicone injections, the proposed mechanisms  of embolization include excessive local tissue pressure, local massage by the illegal practitioner, or direct intravascular injection.   It is thought that large volumes of silicone result in local tissue damage and the silicone eventually gains access to the bloodstream and this results in pulmonary embolization.  This can occur even weeks after an injection.

On CT scan  this looks like peripherally distributed ground-glass opacities with interlobular septal thickening similar to eosinophilic lung disease and fat embolism.  On plain film, silicone embolus can look like pneumonia and therefore a high index of suspicion is needed to make the diagnosis.

silicone lung.JPG

Steroids are the suggested treatment presumably because the silicone incites an immune response in the lung.

Our patient was an exotic dancer and had NO evidence of silicone embolization on CT.  Her final diagnosis was gastritis and her pain resolved with proton pump inhibitors.

Teaching point:  If you obtain a history of silicone injections and pneumonia; consider embolization. Other complications of silicone injections include renal failure, granulomas and cellultis.

 

 

 

Mendonca D, Leitao D, Friend R, Epelboim J , Eiger G. An unusual case of pulmonary embolism.  Respiratory Care Aug 2012 Vol 57 (8) 1346-47.

2. Restrepo CS, Artunduaga M, Carrillo J, Rivera A, Ojeda P, Martinez-Jimenez S, et al. Silixone pulmonary embolism: report of 10 cases and review of literature. J Comput Assist Tomogr 2009. 33(2):233-237. 

3. Chung KY, Kim SH, Kwon, et al. Clinicopathologic review of pulmonary silicone syndrome embolism with special emphasis on the resultant histologic diversity in the lung: a review of five cases. Yonsei Med J. 2002;43(2):152-159.

4. Zamorea AC, Collard HR, Barrera L, et al. silicone injection causing acute pneumonitis; a case series. Lung 2009;187(4): 241-244.