A 42 y.o. male comes to the ED with fever and severe HA after vacationing at the Lake of the Ozarks.

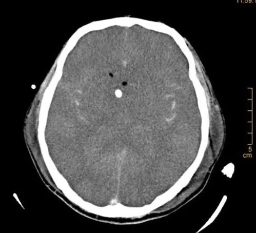
His CT is shown below.

What do you notice on the CT?

Our patient had increased intracranial pressure from Naegleria fowleri meningoencephalitis. His CT showed signs of increased intracranial pressure with absent ventricles and no gray-white differentiation.

Naegleria is a free living  microorganism that feeds on bacteria .  It is found in freshwater lakes , hot springs, warm water discharge from industrial plants, swimming pools with low chlorine levers, water heaters ,splash pads,  and even soil. A water temperature of 77 degrees is necessary for growth.

It has been reported several times in Missouri with the latest case in Aug 2025 in an individual water skiing at the Lake of the Ozarks. . At least two cases of splash pad associated Naegleria fowleri  have been reported  in children in Arkansas.

tthe life cycle of Naegleria

It is an uncommon protozoal disease  thought to be invasive in humans when contaminated water enters the nasal cavities.  It travels along the olfactory nerves to the brain.  It was first  discovered in Australia in 1965 by Malcolm Fowler when it was identified in fatal human cases of amebic meningoencephalitis. Not much has changed since 1965, with the mortality remaining at 95%.

Treatment  recommendations include miltefosine  or AmB which is primarily an antifungal but has activity against  amoeba.  Currently the CDC recommends Miltefosine which was developed for use in breast cancer and Leishmania infections. 

Our patient became comatose in two days and never regained consciousness. He was febrile and had a WBC count of 14K with 52,000 WBCs in the CSF. He was treated and an EVD was placed to drain CSF. . He died ten days after he reported a headache.

WHY ARE SOME INDIVIDUALS AT RISK FOR SEVERE IMMUNE REACTIONS?

An estimated 100,000 people visit the Lake of the Ozarks on a summer weekend.  Yet, the incidence of this disease is very low.  Why do some individuals  have such a severe immune response? This severe response can be seen  after viral infections as well and research is ongoing into the severe brain swelling that can occur in children after influenza. This condition is called ANE (acute necrotizing encephalopathy) In spite of plasma exchange and immune suppression 1/3 of children die and many more have severe neurologic sequellae.

Current research shows those susceptible may have difficulty forming sialylated IgG antibodies . IgG antibodies usually bind to pro-inflammatory receptors on alveolar macrophages increasing inflammatory activity. Sialic acid induces a repressor element preventing excessive inflammation. Efforts are ongoing using IVIG therapy and recombinant sialylated Fc fragments to blunt the run-away immune response.

The Lake of the Ozarks was created in 1931 by the construction of the Bagnell dam.

FUN FACT

The name Ozark is thought to come from the French phrase aux Arcs a shortened form of “to the Arkansas Indians”  or “with bows” also referring to the native tribe.

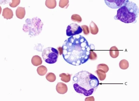
In CSF the organism is shown at A and it is being phagocytosed at C in a WBC

Dulski T, Montgomery F, Ramos J, et al. Fatal case of splash pad -associated naegleria fowleri meningoencephalitis—Pulaski County, Arkansas, Sept 2023.  MMRI. March 27, 2025;167-172.  

Wang Q, Li J, Ji J, et al. A case of Naegleria fowleri related primary amoebic meningoencephalitis in China diagnosed by nextgeneration sequencing. BMC Inct Dis  2018 Jul 28;18(1):349.  Doi:10.1186/s12879-018-3261=z

Influenza-Associated Acute Necrotizing Encephalopathy (IA-ANE) Working Group. Influenza-associated acute necrotizing encephalopathy in US children. JAMA. Epub ahead of print. July 30, 2025.

Chakraborty S, Cheng B, Edwards D, et.el. Sialylated IgG induces the transcription factor REST in alveolar macrophages to protect against lung inflammation and severe influenza disease. Immunity. 2025 Vol 58(1).

Rosanne Naunheim2 Comments