A 38y.o. woman presents with nodules in the skin

A 38 y.o. woman presents with a two month history of subcutaneous nodules in the skin. She has a history of a similar rash one year pta that was diagnosed as tuberculosis and treated.

What could this be?

Our patient had a mycobacterial infection of the skin proven by biopsy. Mycobacteria are difficult to culture and  molecular assays are not always useful. A QuantFERON Gold test can produce positive results in people with mycobacteria other than M tuberculosis because it measures a response to two antigens ESAT-6 and CFP. 

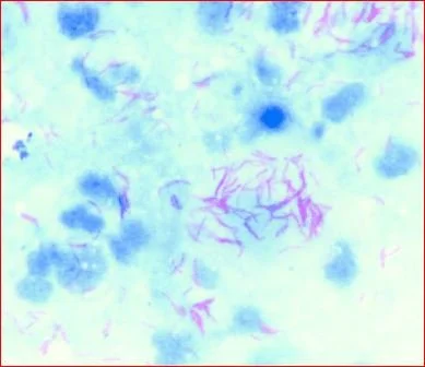
Ziehl-Neelson stain for acid fast bacteria

Mycobacteria are aerobic bacteria with lipid- rich walls which resist decoloration by acids during staining.(hence the term, “acid-fastMycobacteria may breach first-line defenses of the immune system and cause disease of the respiratory tract or skin.  Occasionally the infection becomes disseminated.  Two mycobacterial infections, leprosy and  M. tuberculosis, have been documented in human history for thousands of years following waves of human migration. Mycobacteria evolved into multiple types as this migration occurred. They are divided into several major groups.

Mycobacterium tuberculosis is responsible for primarily pulmonary disease. Humans are the only known host for the disease. The disease reached epidemic proportions in Europe and North America during the 18th and 19th centuries and then began to decline.  Mycobacterium bovis is the basis for the BCG vaccine which is used in countries with a high prevalence of tuberculosis,

Scrofula shown above,  is an extension of M. tuberulosis into the cervical lymph nodes

 1.   Non-tuberculous mycobacteria are divided into rapidly growing and slow growing. The rapidly growing like M. abscessus are associated with plastic surgery procedures and are thought to be from contaminated instruments. Lesions have been reported after acupuncture. The slow growing mycobacteria include MAC(mycobacterium avium complex) is the most common cause of mycobacterial infection which is not tuberculosis. It can affect both lungs and skin. Mycobacterium marinum is also in this group.  It is found in a water environment and can cause chronic ulcers after a break in the skin.

1.       Mycobacterium leprae targets peripheral nerves by infecting Schwann cells in the skin.  If untreated the disease can lead to loss of parts of the extremities due to unrecognized wounds in insensate areas.

insensate lesions in a one year old child

Nine banded armadillos are a reservoir of leprosy.  Multilocus  sequence typing of armadillo M leprae strains show it was originally of human origin. Currently armadillos and red squirrels remain a reservoir of infection. 

nine banded armadillo

While waiting for definitive identification, our patient is being treated as MAC/M, abscessus with amikacin, ethambutol, azithromycin,  and imipenem.   An investigation for lymphoma is proceeding. Her + RPR is thought to be a false positive because of her disseminated mycobacteria antibodies. Her rash has not improved.

Franco-Paredes C, Marcos L, Henao-Martinez A , et al. cutaneous mycobacterial infections. 2018 .   Clinical Microbiology Reviews Vol 32(1) 32:10.1128/cmr.00069-18.

Gordon S, Parish T. Microbe profile:Mycobacterium tuberculosis: Humanity’s deadly microbial foe. Microbiology  2018. 164(4)437-439.

Mazurek G, Jereb J, LoBue P, et al. guidelines for using the Quantiferon-TB Gold test for detecting Mycobacterium tuberculosis infection, US MMWR 2005;54(RR):49-55

Neves S, Santos V, Revisiting scrofula: an entity no to forget in migrants’ health. Cureus 15(6):e40012.doi:10.7759/cureus.40012.