A 52 y.o. male from Haiti presents with a sore throat.

What do you notice?

Our patient has a 4 cm mass on the soft palate. Biopsy showed it to be a low grade salivary gland tumor. .While we think of salivery glands as the three large pairs, the parotids, the submandibular salivary glands and the sublingual salivary glands; they exist in other places.  The  greatest bulk of the soft palate is composed of tubulo-acinar salivary glands. About 1,000 minor salivary glands are spread through the mucosa in the mouth.

While we think of salivary glands as the three large pairs: the parotids, the submandibular salivary glands and the sublingual salivary glands; they exist in other places.  The  greatest bulk of the soft palate is composed of tubulo-acinar salivary glands. About 1,000 minor salivary glands are spread through the mucosa in the mouth.

CAUSES OF XEROSTOMIA

Another condition associated with salivary glands is xerostomia. One in five older aduts has a lack of saliva production which leads to difficulty with chewing and swallowing.  Malnutrition can result. In addition to increasing age, other conditions are associated with xerostomia.

Autoimmune diseases- SLE, RA, primary biliary cirrhosis, thyroid disease

Infection-Infiltration of the salivary glands with granulomas occurs in tuberculosis, HIV, paramyxovirus(mumps) , influenza,herpes virus(HHV-7), CMV, Coxsackie virus

Mumps is most likely in young adults who have not been previously vaccinated.

Fibrosis of the salivary glands-graft vs host, scleroderma

Malignancy-  lymphoma causes infiltration of the salivary glands and hypofunction.

Infiltration of the salivary glands- fatty infiltration occurs in Sjogrens and alcoholism

 

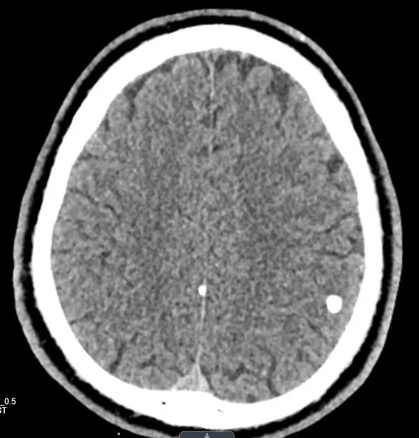
Our patient has a low grade tumor with significant potential to obstruct the airway. Surgery is planned. He was incidentally discovered to have calcifications in the brain. Presumably this is from an old parasitic infection. Neurocysticercosis is the most frequent parasitic infection of the nervous system and has been reported in the West Indies.

 

Black J. The structure of the salivary glands of the human soft palate. J Morphol. 1977 Jul:153(1):107-17.

Valstar M, de Bakker B, Steenbakkers R,et al.  The tubarial salivary glands: a potential new organ at risk for radiotherapy. Radiotherapy and Oncology Jan 2021. Vol 154;:292-298.  

Rhodus N, Brown J. The association of xerostomia and inadequate intake in older adults. J Am Diet Assoc.  1990(12):1688-92.

Ortarzewska M, Nijakowski K, Kolasinska J. et al. Salivary alterations in autoimmune thyroid diseases: a systematic review Int J Environ Res Public Health 2023Mar;20(6):4849.