A 26 y.o. woman is shot in the R buttock. She complains she cannot move her legs.

Why?

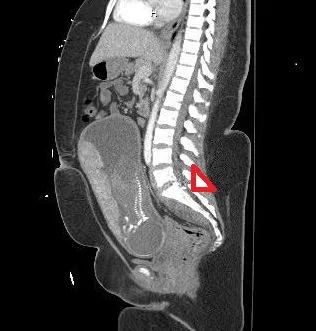
Hint; the image below points to the problem; and yes she is 23 wks pregnant

Our patient has an injury at the level of L5-S1 with a fracture of the L lateral vertebral body of L5 and R S1 lamina with retained fragments in the spinal canal and a large osseous fragment in the R S1 neural foramen. She was neuro intact but did not move her legs secondary to pain, most likely from bony fragments compressing the sacral nerves.

final position of the bullet after traversing L5.

Trauma affects 1 in 12 pregnant women  with fetal loss occurring in 0.03-0.09% of cases. Gunshot  wounds  in pregnant women, while rare,  represent an important cause of fetal and maternal mortality.. 

 While penetrating injury occurs in less than 2% of all pregnant trauma patients who are admitted for trauma, 77% of these involve gunshot wounds. The fetus has a perinatal mortality rate between 41-71%.  

Fetal loss after trauma often develops from placental abruption, maternal hypotension, uterine rupture or maternal death. If the fetus has no signs of life; the treatment of the mother is the priority.  If the fetus has signs of life; and the mother is hemodynamically unstable, an immediate C section is needed.

Our patient was stable, and admitted for physical therapy. She could not be given NSAIDS because of her pregnancy and was treated with opiods for pain.

 

Jain V., Chari R., Maslovitz S., Farine D., Bujold E., Gagnon R., Sanderson F. Guidelines for the management of a pregnant trauma patient. J. Obstet. Gynaecol. Can. 2015;37(6):553–571. 

 Molina G, Aguayo W, Cevallos et al. Prenatal gunshot wound, a rare cause of maternal and fetus trauma, a case report. Int J Surg Case Rep 2019;59:201-204.

  Carugno J.A., Rodriguez A., Brito J., Cabrera C. Gunshot wound to the gravid uterus with non-lethal fetal injury. J. Emerg. Med. 2008;35(1):43–45. 

Gun F., Erginel B., Günendi T., Çelik A. Gunshot wound of the fetus. Pediatr. Surg. Int. 2011;27(12):1367–1369.

A fetus who survived an intrauterine gsw with lung, diaphragmatic and bowel injuries after an emergency C section