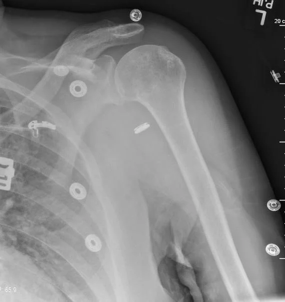
A 69 y.o. woman sustained a shoulder dislocation after a mechanical fall. It was relocated at an outside hospital

Now she is unable to move he arm and complains of numbness from the midhumerus distally. What happened?

this is the post reduction film.

Our patient had a brachial plexus injury at the time of her fall.  The hallmarks of these injuries are severe burning pain shooting down the arm and weakness of the distal extremity.  Brachial plexus injuries after shoulder dislocation were first described in 1910.

Injuries to the brachial plexus can range from mild to severe with all or part of the plexus involved. They occur during falls as in our patient but are also common in sports especially football and wrestling .  Newborns are also found to have brachial plexus injuries in breech deliveries and in larger infants. 

most injuries to the brachial plexus occur distal to the clavicle

THE PARTS OF THE BRACHIAL PLEXUS

NERVE CORDS These are referred to as according to their relationship with the axillary artery.

Lateral cord- - lateral pectoral nerve, lateral root of the median nerve and musculocutaneous nerve(biceps)

Medical cord- medial root of the median nerve, ulnar nerve

Posterior cord- axillary nerve, radial nerve latissimus dorsi, subscapular nerve

https://www.youtube.com/watch?v=2Ftjj-UI5v4

 

TYPES OF INJURY TO THE BRACHIAL PLEXUS

Axillary nerve injury- this is the most common injury to the brachial plexus.

the axillary nerve can be the sole injury and results in inability to feel the area over the deltoid or use the deltoid muscle

Complex  brachial plexus injury- these occur in 5.4-55% of all shoulder dislocations and warrant carfeful neurologic exams.  The infraclavicular part of the brachial plexus is most commonly affected. Most commonly the deficits resolve spontaneously but   but 13% require surgery which is done 3-6 months after the injury. Motor deficits usually occur before sensory ones.

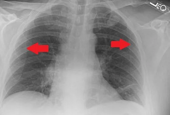
Scapulothoracic dissociation –these are more likely to occur with high velocity injuries commonly motorcycle riders who are thrown off their vehicles with the arm caught under a handlebar. In these injuries vascular damage occurs often with the brachial plexus injury. They can be seen on CXR by comparing the distance of the scapula from the spine.

 

measure the distance from the spine to the scapula to find a scapulothoracic dissociation. In this image more of the scapula projects over the chest on the R than the L

Gutkowska O, Martynkiewicz, et al. Brachial plexus injury after shouder dislocation: a literature review . Neurosurg Rev. 2020;43(2)407-423.

Delbit P, Cauchoix A. Les paralysies dans les luxation de l’epaula. Rev Chir. 1910;41:327.

https://emedicine.medscape.com/article/1877731-overview#a2