A 65 y.o. quadriparetic male fell and comes to the ED for evaluation

What do you see on his cxr?

hint below

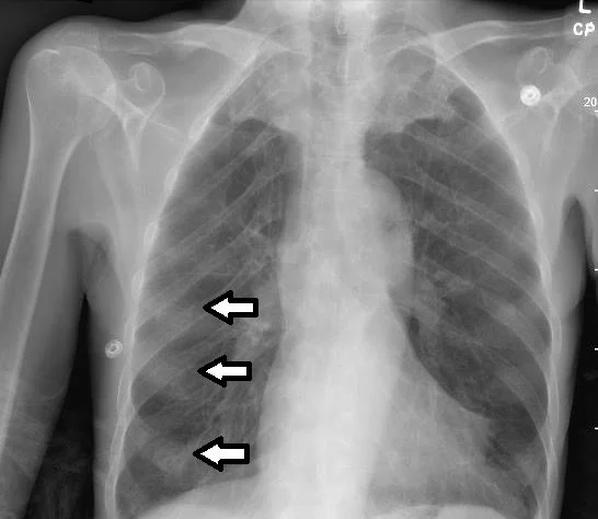
What are those nodules?

Our patient had Vit D deficiency and had developed a rachitic rosary;  a series of enlargements at the costochondral junctions of the anterior ribs.

Lack of vitamin D causes decreased calcium absorption in the gut and this causes a lack of mineralization and overgrowth of the cartilage at the joints.  Scurvy can also cause a scorbutic rosary because vit C deficiency causes abnormalities of bone growth and periosteal elevation.

The differential would also include diseases of impaired bone growth or marrow expansion. Paget’s disease, fibrous dysplasia and thalassemia are included.

In thalassemia the marrow expands causing the ribs to widen

VITAMIN DEFICIENCIES CAUSING BONY CHANGES

The vitamin deficiencies are not often thought of in the US because our diets are generally adequate to prevent deficiency . This is not true for Vit D however, with an estimated 42% of individuals in the US being deficient. Breast fed infants are particularly at risk for Vit D deficiency

VIT D deficiency- Studies have shown that most healthy black individuals do not achieve optimal 25-hydroxyvitamin D levels at any time of the year.  Pigmentation reduces Vit D production in the skin.

VIT C deficiency- was the subject of the first clinical trial in 1747 when the HMS Salisbury conducted a trial on board for the treatment of scurvy.  The men assigned to citrus fruit treatment recovered. Symptoms of scurvy can be remembered by the 4H’s: hemorrhage, hyperketatosis hypochondriasis, and hematologic abnormalities. A fasting serum ascorbic acid level greater than 0.6mg/dL rules out scurvy.

perifollicular hemorrhages, bleeding gums and bone pain are often seen in scurvy

Consider vitamin deficiencies in patients at risk: those with malabsorption, renal dialysis, alcoholics, and patients with pigmented skin.

Our patient had a Vit D level of 14 and his primary was notified.

Munns, Craig F, et al. 2016 Global Consensus Recommendations on Prevention and management of Nutritional Rickets. Journal of Clinical Endocrinology and Metabolism. Oxford University Press. 1010(2):394-415.

Harris S, Vitamin D and African Americans. J  Nutr. 2006  Apr;136(4):1126-9.

Haq R, Dhammi I, Jain A, et al. Infantile scurvy masquerading as bone tumour. Ann Acad med Singapore. 2013 Jul. 42(7):363-5.

Hansen E, Mezsche C, Hanningsen E, et al. Severe scurvy after gastric bypass surgery and a poor postoperative diet. J Clin Med Res 2012 Apr. 4(2):135-7.

Singer R, Rhodes H, Chin G, et al. High  prevalence of ascorbate deficiency in an Australian peritoneal dialysis population.  Neprhology  200813(1):17-22.