A 49 y.o. farmer with DM, COPD, presents with difficulty swallowing x three weeks.

What do you notice on his plain film?

blasto.jpeg
What is the differential for this bony erosion?

What is the differential for this bony erosion?

Our  patient had disseminated blastomycosis.  Blastomycosis is a chronic granulomatous mycosis of humans and animals (primarily dogs). In humans pulmonary cutaneous and disseminated forms occur. It was first described as a cutaneous disease in 1894 by Thomas Gilchrist  who identified the etiologic agent as a fungus. The cases most frequently occur in the Mississippi valley .  

the distribution of blastomycosis is similar to histoplasmosis

the distribution of blastomycosis is similar to histoplasmosis

Blastomycosis enters the body through the lungs usually causing pneumonia. It converts from a mold form to a yeast form in the lungs. 3-15 weeks after inhaling the conidia of the fungus fever, cough, body aches or chest pain may develop. 50% of people are asymptomatic. When Blastomycosis disseminates, often the pulmonary lesion has healed. disseminated blastomycosis often causes osteomyelitis or skin lesions.  In 5% of cases it may cause CNS involvement with meningitis , intracranial abscesses or spinal epidural abscesses. Lymphocytic pleocytosis is noted in the CSF but the organism is difficult to grow from culture and a brain biopsy is recommended especially if there is meningeal enhancement on MRI. Blastomycosis meningitis can appear very similar to tuberculous meningitis and is often treated with antituberculosis drugs before the diagnosis is made.

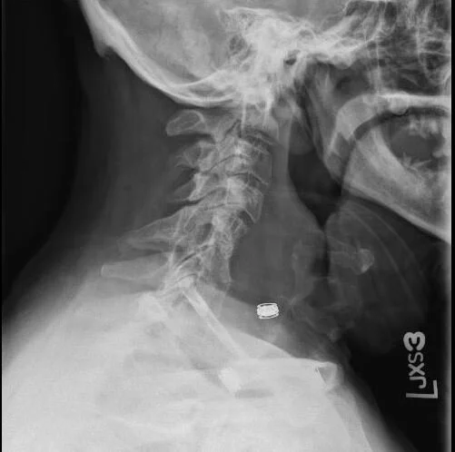
A 39 y.o. healthy male with blasto osteromyelitis.

A 39 y.o. healthy male with blasto osteromyelitis.

Sporatic outbreaks of blastomycosis have been reported.  In 2009 a large outbreak was reported among the Hmong people in Wisconsin. Risk factors for being diagnosed with blastomycosis were : clearing brush, visiting a cabin, using an all-terrain vehicle  having exposure to a constuctionsite or owning a dog. The Hmong outbreak occurred in winter and it was hypothesized that the more crowded living conditions among this group contributed to the spread as well as no natural immunity since it does not exist in Vietnam.

Blasto can resemble tuberculosis on the skin

Blasto can resemble tuberculosis on the skin

Our patient elected not to have surgery for neck stabilization because he did not want to be out of work.  He is currently taking one year of ambisome.

 

Klein B, Vergeront J, Weeks R, et al. Isolation of Blastomyces dermatitidis in soil associated with a large outbreak of blastomycosis in Wisconsin.  NEJM 1986;3114:529-534. 48 cases were identified in a group at a summer camp that walked on a beaver dam. 54% were symptomatic

Klein B, Davis J. A laboratory-based surveillance of human blastomycosis in Wisconsin between 1973 and 1982. Am J epidemiol 1985;122:879-903.

Kaka A, Sarosi G, Disseminated Blastomycosis NEJM 2017;376:e9.

Friedman J, Wudicks E, Fulgham J, Wright A. Meningoencephalitis due to Blastomyces dermatitidis: Case report and literature review. Mayo Clinic Proceedings 2000, vol 75:403-8.   A 20 y.o. male was hauling dead wood as  a summer job and contracted Blasto meningitis.

Roy M, Benedict K, Deak E, st al. A large community outbreak of blastomycosis in Wisconsin with geographic and ethnic clusterin.  2013 Clin Infect Dis Sep 1 57(5):655-662.

Linder K, Kauffman C. Current and new perspectives in the diagnossi of blastomycosis and histoplamosis. 2020 J Fungi 2021 7(1). 12:https://doi.org/10.3390/joff7010012.