A 60 y.o. male presents sp radical prostatectomy/XRT and artificial urinary sphincter placement with urine that smells like feces.

What could be wrong?

what do you notice on plain film?

what do you notice on plain film?

Our patient has a widening of the symphysis pubis.  The normal gap is 4-5 mm but in pregnancy hormonal influences relax the ligaments increasing the gap to 9 mm.  With 1 in 800 normal deliveries there is spontaneous separation of the symphysis. Other causes of separation include trauma and infection.  Our patient had an abscess in the area of the symphysis caused by an infected artificial  urinary sphincter(AUS).

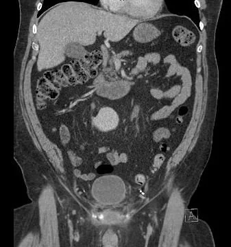
aus4.JPG

The artificial urinary sphincter is a common treatment for male urinary incontinence since it was introduced in 1972. . The ten year revision/removal  and reimplantation rates were 34% and 27% respectively.  Complications following implantation include infection, urethral diverticulum, mechanical failure,  pump malposition ,and erosion of the  urethra.  Gradual development of incontinence often develops over time.  These complications are seen more often in patients with diabetes, cardiovascular disease, pelvic radiation, low testosterone and low albumin.

there is inflammation near the symphysis

there is inflammation near the symphysis

and there is widening of the symphysis

and there is widening of the symphysis

Our patient ha a urethral leak near the pubic symphysis caused by erosion of the sphincter of the AUS.  The subsequent abscess was drained by IR and grew Klebsiella with Strep mitis and Strep bovis.  Six weeks of ceftriaxone was recommented with a PICC line. He was discharged with a Foley in place. The patient will return after the antibiotics are complete to discuss urinary diversion.

 

Radomski S, Ruzhynsky V, Wallis C, et al. complications and interventions in patients with an artificial urinary spincter: long-term results. J Urol 2018 Nov;200(5):109.

James M, McCammon K.  Artificial urinary sphincter for post-prostatectomy incontinence: a review.   Int J Urol. 2014 Jun;21(6):536-43. 

Khouri R, Ortiz N, Dropkin B,  Joice G, et al.Artificial urinary sphincter complications: risk factors,workup and clinical approach.  Curr Urol Rep 2021 Mar 29:22(5):30