A 24 y.o. woman with a hx of congenital heart disease and complete heart block comes in for dental pain

What do you notice on her EKG?

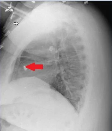
Hint: the answer is on the cxr

Our patient had a leadless pacemaker which was malfunctioning with spikes on the t waves.

The leadless pacemaker is 90% smaller than a transvenous pacemaker and is a self contained generator and electrode system implanted by catheter into the RV.  It lasts 6-12 years.  It is used mainly for  a fib with bradycardia, tachy brady syndrome or those who infrequently require pacing. The Micra attaches to the RV with four linear sef-expanding nitinol tines. (titanium-nickel)  Nitinol can deform 10-30 times as much as ordinary metals and return to its original shape.

placement by catheter in the RV

When the battery runs out the pacemaker is simply turned off and replaced trans venously.  Our patient had  her pacemaker turned off and had an adequate underlying rhythm.  She received a dental block for her tooth pain which was the reason she came to the ED.

The Medtronic micra is 2.59 x 6.7 mm

When the battery runs out the pacemaker is simply turned off and replaced trans venously.  Our patient had  her pacemaker turned off and had an adequate underlying rhythm.  She received a dental block for her tooth pain which was the reason she came to the ED.

 

Nippoldi D Whiting J, Micra transcatheter pacing system: device volume characterization comparison. Nove 2014. Medtronic data on files.

Reynolds D, Duray G, Omar R.et al. a leadless intracardiac transcatheter pacing system.  NEJM Feb 11,2016;374(6):533-541.

Shen E, Ishihara C, Uehara D.  Leadless pacemaker: Report  of the first experience in Hawai’i. Hawaii J Med Public Health 2018 Apr;77(4):79-82.