A 98 y.o. woman with COPD, and HT comes to the ED with abdominal pain; she is pain free by the time she is seen

Because of her age; a CT is done

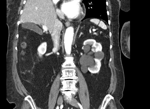
what do you see on the CT of her abdomen?

what do you see on the CT of her abdomen?

and what else?

and what else?

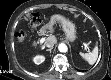
the pancreatic mass

the pancreatic mass

Our patient had a multicystic lesion in the head of the pancreas suggestive of a serous cystic neoplasm.  She also had multiple cystic pancreatic tail lesions thought to represent intraductal papillary neoplasms.  In addition, she had a renal sinus cyst on the left which can mimic hydronephrosis.

How do the elderly with abdominal pain differ from younger people?

The physical exam may be benign in the elderly which was certainly true in our patient since she was asymptomatic at the time of exam. Abdominal pain may represent a cardiac problem with 1/3 of women over 65 presenting with abdominal pain as a manifestation of MI.

Although UTI, and constipation are common in the elderly, the cause of their pain must be assumed to be more serious. Since pain nerve fibers deteriorate with age, older adults may either have no pain or diffuse pain. In patients with peritonitis only 55% have pain.  

pneumatosis can be a sign of bowel ischemia

pneumatosis can be a sign of bowel ischemia

In elderly patients (over 65) who present with acute abdominal pain, there are four common ways they differ from younger patients:

BILIARY DISEASE- Changes in the biliary system make older patients more vulnerable to acute cholecystitis  because of increased prevalence of gallstones, increased lithogenicity of bile and an increase in the diameter of the common bile duct .  

SMALL BOWEL OBSTRUCTION/LARGE BOWEL OBSTRUCTION-Small bowel obstruction is more common in the elderly because of adhesions or malignancy. Gallstone ileum is found most commonly in the elderly. Large bowel obstruction is also found more frequently in the elderly because of cancer, sigmoid volvulus, and diverticulitis. 

MESENTERIC ISCHEMIA- Mesenteric ischemia can occur from SMA embolus in pts with a fib which is the most common cause of mesenteric ischemia.  Other causes of mesenteric ischemia include SMA thrombosis, SMV thrombosis causing an indolent course or low flow states found in sepsis or hypotension.

AORTIC ANEURSYMS- Aortic aneurysms are also found  almost exclusively in patients over 65. 

In the group of patients over 90, special considerations are recommended.  Functional status prior to presentation becomes paramount. In a British study, nonagenarians were four times more likely to die if they had an operation for an acute abdomen than matched patients age 50-59. Only 4 % of nonagenarians with an acute abdomen received an operation.  They recommend the following algorithm.

suggested algorithm for those over 90

suggested algorithm for those over 90

Life expectancy was 47 years in western countries in 1900 and in the next century increased by 30 years. We have come a long way since  the 17th century BC when the Edwin Smith Surgical Papyrus noted “to be an old man is evil for people in every respect” .  Our patient was discharged home with no treatment and her primary doctor was notified of her findings.

heiroglyphics for the problems of aging.

heiroglyphics for the problems of aging.

Marco C, Schoenfeld C, Keyl P, Menkes E, et al. Abdominal pain in geriatric emergency patients: variables associated with adverse outscomes. Acad Emerg Med 1998;5(12):1163-68.

 Lyon C, Clark D. Diagnosis of acute abdominal pain in older patients. American Family Physician 2006 Nov 1;74(9):1537-1544.

Spangler R, Pham T, Khoujah D, et al. Abdominal emergencies in the geriatric patient. Int J Emerg Med. 2014;7:43.

Toumi Z, Kesterton A, Bhowmick A, et al. Nonagenarian surgical admissions for the acute abdomen: who benefits? Clinical Practice  Oct 2010.64;11:1570-72.

Cardiothoracic surgery in the Elderly ed Mark Katlic in Principles and Practice of Geriatric Surgery 2nd ed. New York: Springer;2010.