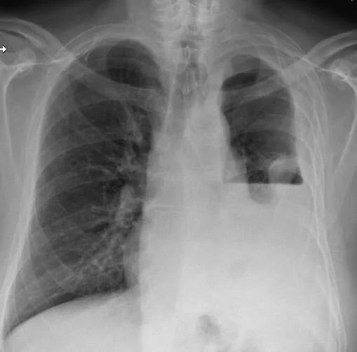
A 61 y.o. homeless man complains of fever and cough

his cxr is shown below

What does it show?

What does it show?

Our patient had an empyema growing out strep mitis and MSSA. .Empyema describes gross pus in the pleural cavity.  It was first described by Aristotle in 300 BC when he placed a metal tube into a patients chest. If it persists for several weeks fibrin deposits on the visceral and parietal pleura leading to entrapment of the lung. An air fluid level forms if there is a gas forming organism like an anaerobe or a bronchopleural fistula. The air fluid level forms a distinctive straight line on the cxr.

It is important to suspect pleural infection in any patient who presents with pneumonia and is found to have a pleural effusion.  The gold standard of diagnosis of pleural space infection is culture,  but  the culture is often negative if the pt has been on antibiiotics.  Low pH, low glucose and high lactate are used to identify patients who require chest tube drainage.

World wide, tuberculosis is a common cause of pleural effusion but is associated with a low mycobacterial load in the pleural cavity.  Parasitic infections such as amebiasis, echinococcosis and paragonimiasis can also cause pleural infections. Treatment of empyema starts with a chest tube and antibiotics. If this fails a decortication may be tried looking for a bronchopleural fistula and freeing up the lung. Other treatments are shown below.if the infection cannot be cleared.

thoracoplasty for tuberculous empyema

thoracoplasty for tuberculous empyema

In treatment of tuberculous empyema a thoracoplasty  was often done. By removing the ribs in a thoracoplasty the lung is permanently collapsed and the cavities of tbc along with it.

In a Clagett procedure, a rib is removed creating a hole to allow pleural drainage, the rest of the lung does not collapse because it is adherent to the chest wall. The wound can be closed with a muscle flap shown here from the serratus anterior.

In a Clagett procedure, a rib is removed creating a hole to allow pleural drainage, the rest of the lung does not collapse because it is adherent to the chest wall. The wound can be closed with a muscle flap shown here from the serratus anterior.

In our patient, ten days after his second hospitalization his air fluid level continued to increase on antibiotics with the chest tube draining.  He was scheduled for a decortication by thoracic surgery.

Chin N, Lim T. Controlled trial of intrapleural streptokinase in the treatment of pleural empyema and complicated parapneumonic effusions. 1997 Chest 111;275-79. This prevents fibrin formation and allows for better drainage.

Welter S, Kampe S, Dziobaka J, et al. Modified Clagett trocedure is effective for methicillin-resistant staph aureus postpneumonectomy empyema: A case report, World Journal of Oncology  2014, vol 5(4):178-180.

Zaheer S, Allen M, Cassivi S, et al Post pneumonectomy empyema: results after the Clagett procedure. 2006 Annals of Thoracic Surgery Vol 82 issue 1: 279-287.

What to measure in a pleural effusion

What to measure in a pleural effusion