A 67 y.o. female presents with shortness of breath

You notice a mass in her neck. what could be wrong?

hint: the patient has has a mass for 15 years and it is slowly enlarging

hint: the patient has has a mass for 15 years and it is slowly enlarging

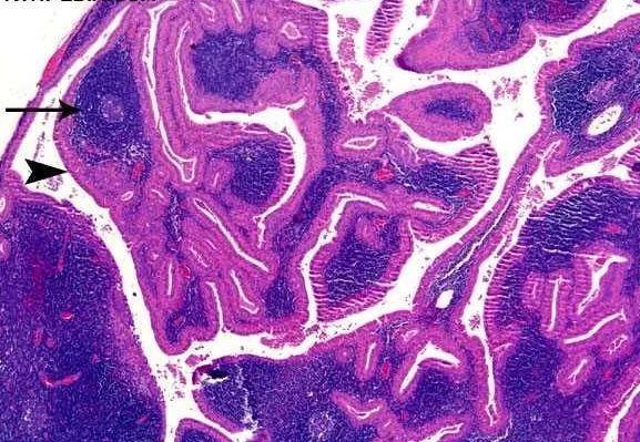
Our patient had a Warthin’s tumor.  This is a benign cystic tumor of the salivary gland which  has mostly lymph-node like stroma.  It was named for Aldred Warthin who first described two cases in 1929.  This is the only benign tumor restricted to the parotid gland. It is the second most common tumor with the first being a pleomorphic adenoma. Smokers are at eight times greater risk than non smokers.

On US there are multiple cystic spaces which are surrounded by epithelial cells.  The epithelium contains lymphoid tissue with germinal center formation.

cystic appearance of a Warthin’s tumor

cystic appearance of a Warthin’s tumor

80/20 rule of neck masses.

80% of neck masses in children are benign with 20% malignant.  In adults the reverse occurs.  80% of masses are malignant and 20% benign.

cystic hygroma in an adult; it is more common in children

cystic hygroma in an adult; it is more common in children

Neck masses can be divided into congenital, inflammatory and neoplastic.

Congenital neck masses-Branchial cleft cysts account for 20% of neck masses in children. Other masses include ranulas, thyroglossal duct cysts, hemangiomas and cystic hygromas.

Inflammatory masses include viral including Epstein barr and bacterial. Common bacterial causes include strep and Staph. Less common infections include tularemia,  brucellosis , HIV, tuberculosis, cat scratch disease and actinomycosis.

Neoplastic causes include salivary gland tumors, throid tumors, paragangliomas of the carotid body, squamous cell mets from primary neck tumors, teratomas,and  lymphoma. Our patient was biopsied but no surgery was performed. Her hospital course was marked by Serratia sepsis and lung disease.

Will, R. ed.(2005) Benign tumors,cysts and tumor-like conditions of the salivary glands. Salivary gland Diseases: Surgical and Medical Management. New York. Thieme Medical Publishers. p. 123.  ISBN 1-58890-8.

McGurk M. Management of the ranula. J Oral Maxillofac Surg 2007 65:115.

Gujrathi C, Donald P. Current trends in the diagnosis and management of head and neck paragangliomas. Curr Opin Otolaryngol Head Neck Surg 2005;13:339.

 

branchial cleft cysts

branchial cleft cysts