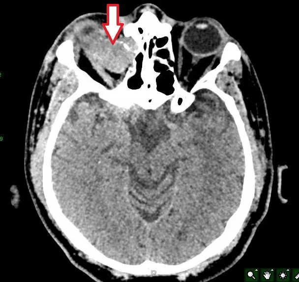
A 45 y.o. male presents with proptosis of the R eye his CT and MRI are shown below

What does he have?

muco4.jpg
muco3.JPG
hint he had a previous craniotomy for trauma in 1996. 

hint he had a previous craniotomy for trauma in 1996. 

Our patient had a mucocele which is an accumulation of mucoid secretions and desquamated epithelium within a sinus.  In this case it was cause by retained sinus lining after his frontal sinus fracture. He was sp cranialization of the R frontal sinus after his injury.  Over the course of many years he developed  a large mucocele intracranially but extradurally that displaced the globe and caused proptosis.  These may develop very slowly and can be reported 10 to 15 years after the fracture.  They can also occur without trauma in an obstructed sinus.

proptosis with a R frontal sinus mucocele

proptosis with a R frontal sinus mucocele

 The frontal sinus is most commonly involved  in mucocele formation  with only rare mucoceles in the sphenoid, ethmoid and maxillary sinuses. The frontal sinus  is shared with the  superior orbital wall which explains the proptosis as the mucocele enlarges. 

Mucoceles were first described in 1820 by Langenbeck and called hydatides. The repair of mucoceles is complicated by the fact that they will recur if even a small amount of mucous producing tissue is left.

open approach for mucocele removal

open approach for mucocele removal

The repair can be open or endoscopic with neurosurgeons generally preferring the open route to remove the entire cyst lining. If the posterior wall of the frontal sinus is eroded  a biopore sheet can be inserted to reconstruct the posterior frontal sinus wall.  It is placed between the orbit and the dura. Other mucoceles are treated endoscopically with or without stents.

Our patient’s course was complicated by the fact that he was psychotic and homeless.  He lacked capacity to consent for himself and two physicians were required to agree on the necessity of surgery. He underwent endoscopic endonasal drainage of the intracranial mucocele with prompt reduction in his proptosis.  His recovery was uneventful.

 

 

Alberti PW, Marshall HF, Munro B.  Fronto-ethmoidal mucocele as a cause of unilateral proptosis. Br J Ophthalmol.  1968;52:833.

Suri A, Mahapatra AK, et al. Giant mucoceles of the frontal sinus: a series and review. J Clin Neurosci. 2004;11:214-8.

Tan CS, Yong VK, Yip LW, AmritjS. An unusual presentation of a giant frontal sinus mucocele manifesting with a subcutaneous forehead mass. Ann Acad Med Singapore. 2005;34:397-8.