A 64 y.o. male comes to the ED with abdominal pain and hypotension.

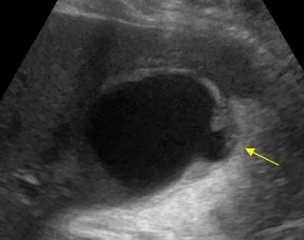
you notice some gallstones ....and

you notice some gallstones ....and

and a discontinuity at the end of the gall bladder.  What happened?

and a discontinuity at the end of the gall bladder.  What happened?

Our patient had a rupture of the gallbladder with stones spilling out into a cavity under the liver. The reason the stones were not free in the abdomen was because of adhesions found at surgery.

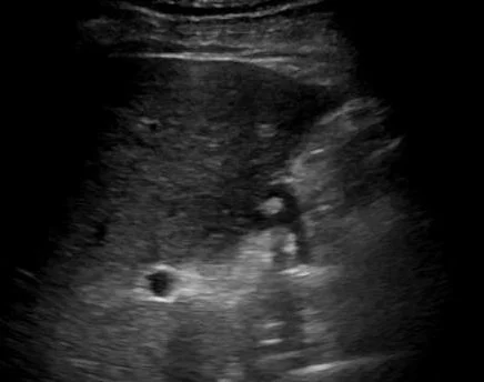
perforated gallbladder at surgery( initially done laparascopically and converted to open

perforated gallbladder at surgery( initially done laparascopically and converted to open

 

About 4% of patients with acute cholecystitis have gallbladder perforation.  This is somewhat dependent on time between onset of symptoms and surgery.It is not surprising that there is a delay in diagnosis since  the symptoms of a perforation may be very similar to uncomplicated cholecystitis.  There are several types of gallbladder perforation according to Niemeier’s classification in 1934. In type I there is free gallbladder perforation and bile peritonitis, type II is localized peritonitis with an abscess and type III is chronic gallbladder perforation which results in a cholecystoenteric fistula.   

A perforation can occur as early as two days after the onset of acute cholecystitis or as long a several weeks after.  The usual mechanism of perforation is blockage of the cystic duct with a gallstone causing a rise in intraluminal pressure which impedes venous and lymphatic darainge leading to necrosis. Gallbladder perforation can also occur with acalculous cholecystitis where  there is increased bile viscosity due to fever and dehydration and prolonged absence of oral feeding resulting in a decrease in cholecystokinin-induced gall bladder contraction. Edema of the gallbladder wall can also occur with chf.

The treatment of a gangrenous gallbladder is cholecystectomy  after the infection is relieved by US guided percutaneous drainage. Our patient underwent surgery. 

look for gall bladder perforation on US

look for gall bladder perforation on US

Derici H, Kara C, Bozdag A,  et al. Diagnosis and treatment of gallbladder perforation, 2006 World J Gastroenterol. 12(48): 7832-7836.

Niemeier OW. Acute free perforation of the gall-bladder. Ann Surg 1934;99:922-924.

thanks to Dr Baumgartner