A 20 y.o. male with C6 fracture and tetraplegia presents with severe HA.

What do you see on the MRI?

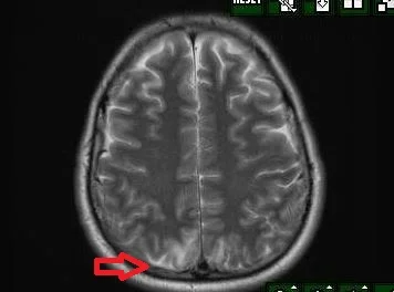
presf.jpg

Our patient had PRES( posterior reversible encephalopathy syndrome) which was first described in 1996.  The image of the MRI shows edema posteriorly on the T2 weighted MRI.  The reason for PRES in this case was autonomic dysreflexia secondary to spinal cord injury.  In patients with spinal cord injury above the T6 level there is an imbalance of sympathetic discharge since sympathetic control of the splanchnic vascular bed is no longer functioning.

When there is a noxious stimulus, for example, an enema, there is unopposed activity of the  spinal reflex mechanisms that remain intact in spite of the spinal cord injury. The splanchnic bed vasoconstricts and there is a sudden increase in blood pressure.  

In our patient this resulted in extreme hypertension with enemas or urologic procedures leading to a seizure and PRES.  This can be avoided by applying a topical anesthetic to the rectum prior to an enema or giving a dose of nifedipine. 

preschart.JPG

PRES has also been reported with duloxetine, lupus, pregnancy, chemotherapeutic agents and anti-rejection drugs. In the case of chemotherapeutic agents or antirejection therapy this is thought to be a direct  toxic effect on vascular endothelium in the brain.

 

Garg RK. Posterior leukoencephalopathy syndrome. 2001 Postgrad Med J. 77(903) 24-28.

Fugate J. Rabinstein A. Posterio reversible encephalopathy syndrom. Clinical and radiological manifectations, pathophysiology, and outstanding questions. 2015.  The Lancet Neurology 14(9) 914-925.

Hinchey J, Chaves C, Appignani B, et al.  A reversible posterior leukoencephalopathy syndrome. 1996. N Engl J Med 334(8) 494-500.

Kur JK, Esdaile JM. Posterior reversible encephalopathy syndrome—an underrecognized manifestation of systemic lupus erythematosus. 2006.  The Journal of Rheumatolgy 33(11):2178-83.

Rajasekhar A, George TJ. Gemcitabine-induced reversible posterior leukoencephalopathy syndrome. A case resport and review of the literature. 2007 Oncologist 12(11)1332-1335.

Zappella N, Perier F, et al duloxetine-related posterior reversible encephalopathy syndrome. Medicine 2016 95:33(e4556)