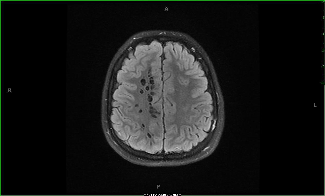
An 11 year old boy with a headache

What is the finding on this CT?

This patient had enlarged Virchow-Robin spaces. These are spaces between an artery or vein and the pia mater which can dilate in various conditions. They can be filled with WBCs in viral encephalitis and interstitial fluid/csf  in the case of dementia, stroke , multiple sclerosis or autism.

These spaces were first noted in 1843but Rudoph Virchow was the first to provide a detailed descriptionof the spaces. Charles-Philippe Robin confirmed the findings in 1859 and they became known as Virchow-Robin spaces.

 

neurocysticercosis  can have a similar appearance

These spaces play a role in the blood brain barrier. The spaces have a constant influx of macrophages and when inflammation by T cells begins,  astrocytes undergo apotosis and open up the glia limitans letting T cells into the parenchyma of the brain which causes dilation of the spaces.

Because dilated perivascular spaces are correlated with cerebrovascular disease,  there is much research on their use as a diagnostic tool.  CADASIL syndrome(cerebral autosomal dominant arteriopathy with subcortical infarcts and leukoencephalopathy syndrome)   have increased numbers of Virchow-Robins spaces and also increased numbers of strokes.  They can also be a normal phenomenon in aging with no relation to atherosclerosis. 

Pilocytic astrocytomas are cystic tumors of young people strongly associated with neurofibromatosis type 1.. They can affect the optic nerves and posterior fossa.

Things that can look similar on CT or MRI include:  neurocysticercosis, cryptococcosis, lacunar infarcts ,cystic neoplasms, MS and mucopolysaccharidoses.

 

In our patient , the Virchow-robin space dilation was thought to be benign and no further workup was done.  

Bechmann I, Galea I, Perry VH. “ What is the blood-brain barrier(not)?” 2007 Trends in Immunology , 28:5-11.

Kwee R, Kwee T. Virchow-Robin Spaces at MR Imaging”.2007  RadioGraphics. 27: 1071-1086.

Cumurciuc R, Guichard J, Reizine D et al. Dilation of Virchow-Robin spaces in ADASIL. European Journal of Neurology 2006 13:187-190.

Mills S, Cain J, PUrandareN, et al. Biomarkers of cerebrovascular disease in dementia. 2007. British Journal of Rdiology 80:S128-S145. 

mucopolysaccharidosis