A Twist and a Pop....

A woman in her 30's comes to the emergency department with right knee pain.  She reports accidentally stepping on someone's foot and twisting her right knee.  She immediately felt a pop and it has been painful ever since.  Due to body habitus, examination of the knee is limited.  Four view radiographs of the knee are obtained.

What is your diagnosis and management plan?  Scroll down for the Case Conclusion.

 

 

 

 

 

Final Diagnosis: Segond fracture with ACL disruption

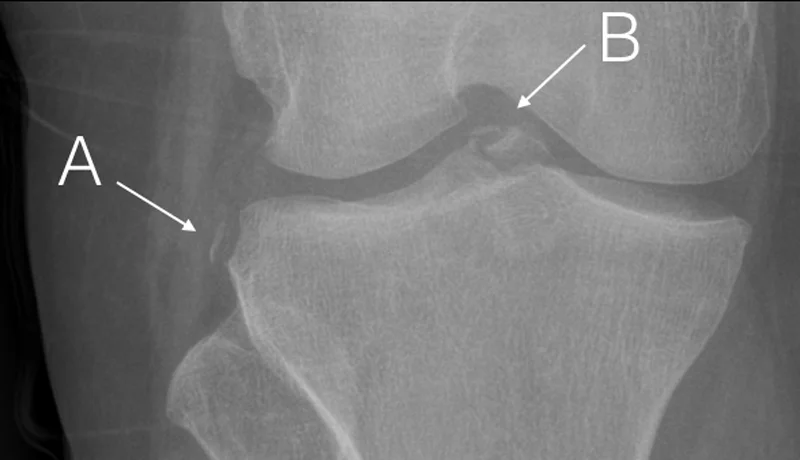
Case Conclusion:  An elliptic fragment of bone is seeing parallel to the tibia and just lateral to the tibial plateau (A).  This avulsion fracture is recognized as a “Segond fracture”, which is classically associated with an ACL tear.   To further support this, the patient also has an avulsion fracture of the intercondylar eminence where the ACL inserts (B).  

 A follow-up MRI confirms the diagnosis.

 Learning Points

While we typically get X-rays to evaluate for fracture, it is sometimes the injuries that we do not directly visualize that are the most clinically relevant.  This is the case with fracture patterns that are associated with ligamentous injury leading to joint instability.  Though these fractures may be subtle, they can represent substantial underlying damage. 

Dahlov Ipcar's children's book "The Cat at Night" focuses on what you can't see rather than what you can.

Dahlov Ipcar's children's book "The Cat at Night" focuses on what you can't see rather than what you can.

The Segond Fracture is one such example [1,2,3].  The typical mechanism is internal rotation of the knee with varus stress. This small cortical avulsion may only be appreciated in the AP-view of the knee.  While it is an avulsion fracture of the anterolateral ligament of the knee (ALL), an associated ACL tear is found in 75-100% cases.  As in the case of this patient, there may be an associated abnormality in the ACL donor site as well. The less common “Reverse Segond fracture” (ellipitical bone fragment arising from the medial aspect of the proximal tibia) is caused by external rotation with a valgus stress. It is associated with significant injury to the PCL as well as tears of the medial meniscus.  In general, these are both considered fractures of the tibial plateau and are managed with a long leg cast and orthopedic referral.

While the Segond fracture is the classic example of a radiographic abnormality associated with significant ligamentous injury and joint instability, remember to consider clinically significant ligamentous injury in a number of important clinical scenarios such as the following  (thanks to Dr. Brent Ruoff for this list):

Cervical Spine

  1. Atlanto-axial dislocation: an increase in the atlanto-dental interval may be the only finding.
  2. Extension teardrop: an avulsion of the inferior-aspect of the C2 body that may be a harbinger of instability of the anterior and middle spinal columns.
  3. Jefferson fracture: an increase in the lateral atlanto-dental interval and sometimes avulsion from either later ring of C1 suggests transverse atlantal ligament rupture, instability (vs relatively stable simple Jefferson’s).

Upper Extremity

  1. Coronoid fracture (especially type III): implies subluxation with spontaneous reduction and likely ligament instability.
  2. Essex-Lopresti injury:  comminuted radial head fracture with distal radio-ulnar dissociation and interosseous membrane disruption.  Failure to recognize this can cause delayed wrist dysfunction.  This is analogous to a Maisonneuve fracture of the lower extremity. 
  3. Gamekeeper’s thumb: A disruption of the ulnar collateral ligamnet that is often associated with fracture of the base of the proximal phalanx.

Case Conclusion by Maia Dorsett (@maiadorsett)

Want to read more? Follow this link for a nice overall review of Emergency Diagnosis & Management of Knee Injuries.

References

  1. Goldman, A. B., Pavlov, H., & Rubenstein, D. (1988). The Segond fracture of the proximal tibia: a small avulsion that reflects major ligamentous damage. American Journal of Roentgenology, 151(6), 1163-1167.
  2. Claes, S., Luyckx, T., Vereecke, E., & Bellemans, J. (2014). The Segond fracture: a bony injury of the anterolateral ligament of the knee. Arthroscopy: The Journal of Arthroscopic & Related Surgery, 30(11), 1475-1482.
  3. Gottsegen, C. J., Eyer, B. A., White, E. A., Learch, T. J., & Forrester, D. (2008). Avulsion Fractures of the Knee: Imaging Findings and Clinical Significance 1. Radiographics, 28(6), 1755-1770.